杨雨是临沂松果口腔门诊部(新东关店)的执业医师,从事牙科诊疗工作9年,积累了丰富的口腔诊疗经验,曾多次外出学习牙周病序列化治疗以及种植修复技术,属于牙齿治疗领域的非凡医师,口碑优异。

杨雨医生怎么样
杨雨医生作为口腔诊疗领域的专精医师,临床经验充足,能够熟练运用各类现代化口腔诊疗仪器开展诊疗工作。他在牙周病治疗、种植牙修复等方面有着独到的诊疗手法,多次外出进修精进自身技术,始终坚持为患者提供专精细致的诊疗服务,凭借扎实的专精能力和耐心的沟通态度,获得了患者的广泛认可与好评。

杨雨医生擅长领域
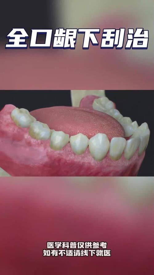
龈下刮治、冠周冲洗、牙周上药:针对牙周炎症开展规范化治疗,操作细致轻柔,有效改善牙龈出血、牙周红肿等问题,维护口腔牙周健康环境。
口腔黏膜病:可精细诊断各类口腔黏膜病症,制定个性化治疗方案,缓解黏膜不适症状,帮助患者修复口腔黏膜健康。
种植牙(全口/半口种植牙、韩国美格真MegaGen、美国杰美zimmer种植体):精通数字化种植牙技术,能够根据患者口腔条件选择适配的种植体,完成精细安心的种植修复,修复牙齿咀嚼功能与美观度。
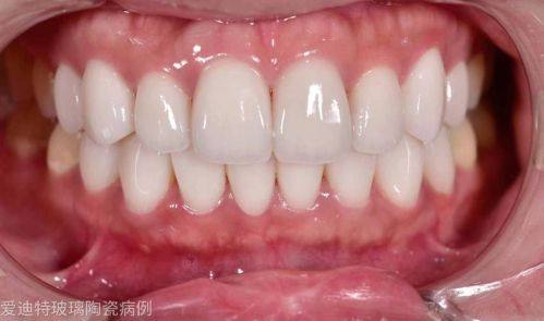
全冠牙、烤瓷牙:擅长牙体缺损的修复治疗,修复后的牙齿外观自然美观,耐用性强,可有效修复牙齿形态与正常功能。
适美乐隐形牙齿矫正:开展隐形正畸治疗,兼顾美观与矫正成效,可根据患者需求调整矫正方案,满足患者对正畸美观性的要求。

杨雨医生技术优势
精通数字化种植牙以及种植修复技术,熟练使用各类现代化口腔诊疗仪器,保护诊疗过程的精细性与安心性,提升种植修复的成功几率。
在牙周病治疗以及冠周修复方面拥有独到的手法和丰富经验,能够结合临床学习成果为患者提供个性化的诊疗服务,优化治疗成效。
多次外出学习牙周病序列化治疗以及种植修复技术,持续精进自身诊疗水平,紧跟口腔诊疗行业前列技术。

杨雨医生口碑评价
患者李女士 种植牙项目
“我因为后牙缺失许久,日常吃饭都受影响,找到杨医生做了韩国美格真种植牙。术前杨医生详细为我讲解了种植方案,操作过程顺利平稳,术后修复也特别快,现在我可以正常进食了,真的特别满意杨医生的技术。”
患者张先生 牙周治疗项目
“我长期受牙周炎困扰,牙龈经常出血,后来找杨医生做了龈下刮治和牙周上药。治疗时杨医生特别有耐心,操作也特别轻柔,几乎没有不适感,之后牙龈出血的情况慢慢好转,现在我都会定期找杨医生做牙周维护。”
患者王女士 隐形矫正项目
“我想要做隐形矫正,对比多家机构后选择了杨医生,他为我制定了适美乐隐形矫正方案,全程沟通细致入微,会随时根据我的情况调整矫正计划。现在矫正了一段时间,牙齿已经慢慢变整齐了,整体体验感非常好。”

杨雨医生怎么预约
1、电话预约:拨打杨雨医生坐诊医院临沂松果口腔门诊部(新东关店)电话号码进行预约。
2、到院预约:直接前往杨雨医生坐诊医院临沂松果口腔门诊部(新东关店)前台进行预约。
3、在线预约:若杨雨出现在线问诊,就特指在本网站进行在线问诊,通过本页面杨雨医生的线上接诊平台,进入对话窗口,留下姓名、联系方式及预约项目等信息,即可完成在线预约。
