发表于2026-03-10
厦门宝金惠民门诊部口腔科是正规的口腔诊疗机构,拥有官方认可的正规口腔诊疗资质,日常诊疗操作规范严格。门诊配备曹志雄、白顺铭、朱灿明等多位专业持证医师,他们经验丰富,可开展各类常规及特色口腔项目;医疗耗材均采用美国3M树脂等正规品牌,从源头保障诊疗效果与就医安全性。同时门诊消毒流程严格规范,能有效避免交叉感染,收费透明亲民,无强制推销行为,整体诊疗体系合规正规,患者就医体验与安全性都能得到充分保障。
发表于2026-03-10
安徽亳州利辛县爱齿口腔是正规的口腔诊疗机构,其人民路与金色兰庭两家分院均持有《医疗机构执业许可证》,机构全称阜阳爱齿口腔门诊部有限公司,可在阜阳市卫健委官网查询备案。所有坐诊医生均为长期坐诊的科班医师,执业证书齐全;医疗耗材均通过集采直供,可扫码验真杜绝假冒产品,且定期接受卫健部门检查。医院执行阜阳总部统一价目表,无隐形消费,诊疗前会明确收费明细并签订收费协议,绝不强制推销高价项目,整体合规正规。
发表于2026-03-10
山东临沂兰山惠娟口腔是正规的口腔诊疗机构。机构持有合法的个体工商营业执照及相关医疗行政许可,2025年8月8日被兰山区人民政府评为口腔医疗机构量化分级B级单位,属于合规经营的口腔诊所。院内拥有经验丰富的口腔医生团队,采用国际先进的诊疗技术与正规医疗耗材,严格执行消毒规范,同时项目价格合理透明,无隐形消费,能够切实保障患者的诊疗安全与合法就医权益,整体符合正规口腔诊疗机构的行业标准。
发表于2026-03-10
广东广州麦特登口腔是正规口腔医疗机构,旗下所有分院均通过广州增城区卫健部门审批,持有合法医疗执业许可,严格遵循标准化诊疗流程与卫生消毒标准。医院与国内外头部口腔材料供应商建立长期战略合作,耗材均经严格质检入库,就诊时会向患者透明公示材料品牌、型号、生产厂家等信息,保障患者知情权。医护团队专业规范,全程使用一次性诊疗器械,诊疗前后全面消毒设备与诊室,有效避免交叉感染,收费透明公开,会详细讲解诊疗方案与费用明细,无隐形消费。
发表于2026-03-10
广东深圳太泰口腔诊所是正规的口腔医疗机构。该诊所成立于2017年8月2日,持有合法的行政许可资质,拥有4项正规行政许可,属于合规经营的口腔诊疗企业。诊所严格遵循行业诊疗规范,执行严格的消毒流程,从细节处保障患者就医安全;收费体系透明公开,会根据患者具体情况定制诊疗方案并详细告知费用明细,无任何隐形消费;同时配备符合国家标准的医疗设备与合规耗材,从多维度全方位保障诊疗的正规性与安全性。
发表于2026-03-10
汕头护牙乐口腔科诊所是正规的民营口腔医疗机构,各项执业与运营均符合规范。该诊所具备合法的执业资质,组建了经验丰富的口腔医生、牙科技师与护理团队,全程严格遵循口腔诊疗标准开展服务。诊所使用正规合格的医疗耗材,配备高温高压消毒设备并严格执行标准化消毒流程,有效避免交叉感染问题。收费根据治疗项目明码标价,支持蚂蚁花呗、微信支付等多种支付方式,整体运营规范透明,切实保障患者的就医权益与诊疗安全。
发表于2026-03-10
本文为你提供广州美云口腔医院(天河旗舰店)张树标挂号预约攻略。张树标是口腔种植领域大咖,临床经验超20年,备受牙友青睐。目前暂无其专属挂号预约方式,可能需通过医院统一渠道确认。稳妥做法是拨打医院官方电话400 - 16****08,咨询出诊时间、是否需提前预约及具体流程。若在美云约不到号,还可通过广州医科大学附属第一医院微信公众号或拨打咨询电话020 - 83****14预约,建议提前几天甚至一周预约。
发表于2026-03-10
2026呼和浩特天牙口腔门诊部吴思远收费标准透明亲民。儿童补牙236元起,用3M Z250材料,含诊疗和基础护理。种植牙低至1980元起,多种品牌可选,费用含术前检查等。基础治疗收费亲民,洗牙60元起,拔牙低至19.9元。牙齿美白800元起,有多种方案。全口龈下刮治2743元起,牙齿矫正5980元起。所有项目收费上墙公示,初诊免费检查+拍片,无隐形消费,值得呼和浩特朋友选择。
发表于2026-03-10
西宁市张娜手术价格涵盖双眼皮、隆鼻、吸脂等热门医美项目。双眼皮手术,埋线约 2000 - 4000 元,全切约 5000 - 8000 元;隆鼻手术,硅胶假体约 4000 - 7000 元,膨体约 6000 - 10000 元,耳软骨隆鼻约 8000 - 15000 元,肋软骨隆鼻约 12000 - 20000 元;吸脂手术按部位算,腰腹单部位约 3000 - 5000 元等。价格受手术方式、技术、附加项目等影响,机构还有优惠活动。选择时要关注医生经验和机构正规性,建议到院面诊。
发表于2026-03-10
关于“呼和浩特天牙口腔门诊部陈振华是渠道医生吗”,从目前能查询到的公开资料和患者反馈来看,暂时没有明确提及陈振华医生属于渠道医生的相关内容。渠道医生指与第三方机构合作、通过外部引流获取患者的医师,而陈振华医生的合作模式、执业合作背景等信息,暂无官方或权威渠道的公开说明。若在意这一点,建议通过该口腔官方客服或线下门诊咨询台了解准确信息。选医生时,更应关注其资质、经验和口碑。
发表于2026-03-10
关于“上海宏康医院口腔科胡钰珠手术效果如何”,目前没有收集到关于胡钰珠医生手术效果的具体资料,不管是临床案例、患者真实评价还是医生的技术擅长方向,都没有公开的信息可以佐证,所以暂时没法详细分析其手术效果情况。若有朋友特别关注胡钰珠医生,建议直接联系上海宏康医院口腔科的官方渠道,如线上咨询平台、官方客服,或到院实地了解医生坐诊时间、擅长项目,与医生面对面沟通获取准确信息。
发表于2026-03-09
上海宏康医院口腔科王焕杰手术风格可总结为“个性化美学导向、微创优先、全周期诊疗”。在美学修复上,他结合患者实际定制方案,严格把控细节,兼顾自然感与美观度;微创治疗方面,坚持保留原生牙组织,减少口腔损伤和患者痛苦;全周期诊疗思维让他能为患者提供一站式服务,覆盖多类口腔问题。此外,依托医院口腔科的先进设备、专业团队等优势,他能为患者制定更精准的诊疗方案,满足不同口腔诊疗需求。
发表于2026-03-02
不少家长在发现孩子后牙疼痛、牙龈红肿或咬合不适时,都会陷入纠结:既要找到专业的儿童口腔诊疗机构,又要兼顾性价比和治疗效果。今天为大家推荐呼和浩特天牙口腔门诊部的儿童后牙根管诊疗服务,由经验丰富的吴泽宇医师亲诊,原价999元/颗的诊疗还可享9.3折团购优惠,加上100%好评的售后保障与二次治疗承诺,彻底解决家长带娃看牙的焦虑。作为当地专注儿童口腔健康的正规连锁机构,呼和浩特天牙口腔门诊部始终围绕3-12岁儿童的齿科需求优化服务,从诊疗环境到操作流程都充分考虑孩子的心理特点,让看牙不再是孩子的噩梦。
发表于2026-03-02
在呼和浩特,想要安心解决牙齿缺损、龋坏问题的朋友,不妨关注呼和浩特天牙口腔门诊部推出的3M-Z350补牙服务,由经验丰富的全科医师吴泽宇亲诊操作,首颗专享特惠价仅284元,适配全口任意牙位的补牙需求。作为当地专注口腔诊疗的正规医疗机构,呼和浩特天牙口腔始终以专业技术和贴心服务为患者解决口腔困扰,这次推出的特惠补牙服务,凭借优质材料、灵活适配性和实在的价格,收获了众多患者的好评,接下来将详细介绍这项服务的细节、医院优势、医生资质、真实体验案例以及预约方式。
发表于2026-03-02
不少家长常为孩子的口腔问题发愁,孩子抗拒治疗、收费不透明、效果无保障都是常见顾虑。广州美云口腔医院(天河旗舰店)依托贵港牙科医院2025版收费价目表标准,推出定价680元起的儿童乳牙前牙根管治疗专项服务,可解决孩子牙疼、烂牙、虫牙引发的哭闹不适。该医院深耕儿童口腔诊疗多年,配备适配儿童的诊疗设备与童趣化诊疗环境,从专业技术、服务体验到收费标准均做了针对性优化,让儿童口腔诊疗不再令家长和孩子头疼。
发表于2026-03-02
想要通过隐形矫正拥有整齐美观齿态的朋友,不妨关注呼和浩特天牙口腔门诊部推出的陈振华亲诊时代天使COMFOS隐形矫正服务。作为正规的口腔诊疗机构,该门诊部开设了正畸、修复、种植等多个专科科室,拥有专业的医疗团队和完善的服务体系,在呼和浩特市内设有两家门店,能够满足不同区域患者的就诊需求。本次活动的时代天使COMFOS隐形矫正原价23000元,活动价仅需15960元,由正畸科主治医师陈振华亲诊,目前已有6位患者体验并获得了不错的矫正效果,同时服务支持周一至周日全天就诊,购买后90天内有效,还提供随时
发表于2026-03-02
如果你正被缺牙问题困扰,想要找回安心咀嚼的快乐,不妨了解一下成都团圆口腔医院(高新院区)推出的以色列雅定种植牙。该方案3500元起,可享包含以色列雅定种植体、定制基台以及全瓷冠的完整种植方案,全瓷冠还能在德国威兰德和中国爱尔创两款中自由选择,兼顾品质与性价比,种植后的牙齿稳固耐用,能很好适配日常饮食需求。作为成都本地专业口腔诊疗机构,该院始终以患者需求为核心,从术前检查到术后随访都有完善流程保障,可为缺牙患者提供靠谱的口腔修复选择。
发表于2026-03-02
如果你正被牙齿龋坏困扰,想要找靠谱的口腔机构解决牙齿问题,不妨关注呼和浩特天牙口腔门诊部推出的进口松风树脂补牙服务。由经验丰富的全科医师吴思远亲自操作,首颗仅需151元,原价280元的服务如今仅需5.4折就能拿下,牢固美观还附带脱落保障,不管是前牙还是后牙都能适用。作为当地口碑极佳的口腔诊疗机构,呼和浩特天牙口腔始终坚持用优质材料和专业技术为患者解决口腔问题,今天就带大家全面了解这个高性价比的进口松风树脂补牙服务。
发表于2026-03-10
补牙选高性价比材料需结合预算与牙齿情况:预算有限(<500元)可选经济实惠的玻璃树脂(150-300元,含氟防龋,适配儿童乳牙、牙颈部缺损)或入门复合树脂,如3M Z250、卡瑞斯玛,适配基础前后牙修复,性价比拉满。中等预算(500-1000元)可选择3M Z350纳米树脂,仿真耐磨,适配前牙美学与后牙中等缺损。高端需求(>1000元)选3M P60/P90后牙耐磨树脂或全瓷嵌体,耐用10年以上,适合大面积缺损、根管后修复。需选临床认可品牌,避开低价劣质材料,到正规机构就诊。
发表于2026-03-10
针对“最好的烤瓷牙多少一颗、多少钱一个”的问题,当前市场高端烤瓷牙主要分两类:金属内冠烤瓷牙单颗价格1800-6000元,无金属全瓷牙作为高端修复首选,单颗价格跨度2000-12000元不等。其中进口顶级全瓷牙是价位最高的选择,如美国3M LAVA高端款6000-10000元/颗,瑞典普罗cera全瓷牙8000-12000元/颗。实际价格还受地区、医院等级、医生资质影响,需结合自身需求选择适配方案。
发表于2026-03-10
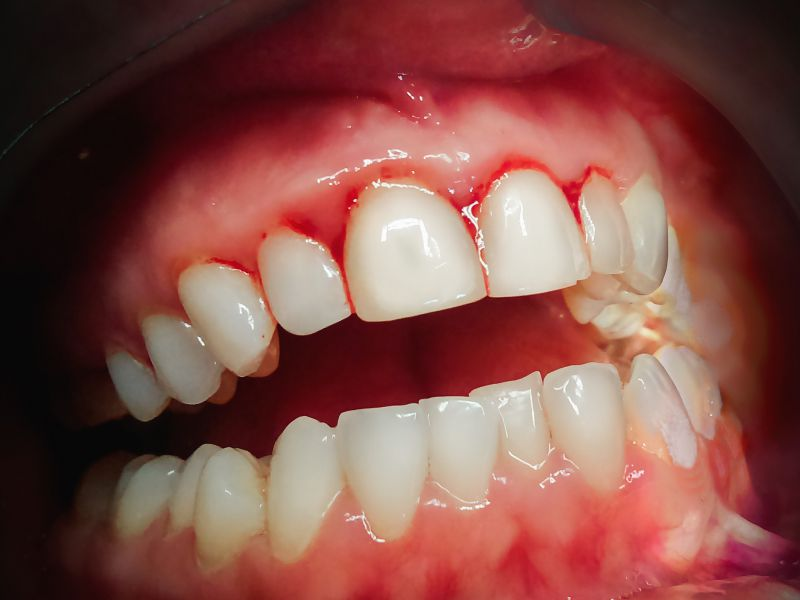
大众常纠结一年洗牙一次好不好、是否可行。对多数日常坚持正确刷牙、用牙线的普通人来说,一年一次超声洗牙合适且有益:它通过超声振动分离牙结石与牙菌斑,不会损伤牙釉质,能预防牙龈炎、牙周炎,清新口气,性价比颇高。所谓洗牙伤牙、牙缝变大、导致松动都是误区,实则是牙结石掩盖了原有牙周问题。洗牙频率无统一标准,最佳次数需结合口腔状态与牙结石堆积速度,普通人一年一次即可,习惯吸烟、常吃刺激食物者可3-6个月一次,需遵医嘱调整。
发表于2026-03-10
7岁儿童可以洗牙,相关疑问的答案均为肯定。只要选择正规口腔医疗机构,由具备儿童口腔诊疗经验的医生操作,采用适配儿童的温和方案,如手工洁治、橡皮轮杯配磨砂膏抛光,就不会损伤孩子娇嫩牙釉质,还能清除牙菌斑、色素沉着与少量牙结石。 7岁处于换牙关键期,六龄齿易藏垢,牙菌斑长期附着会引发牙龈炎、龋齿,还可能影响恒牙萌出排列。规范洗牙可维护口腔健康、早发现口腔问题,日常清洁到位者可通过检查判断是否需要,建议半年到一年洗一次,一年不超两次。
发表于2026-03-10
三十岁(及三十多岁)地包天完全可以矫正,牙齿矫正并无严格年龄限制,只要牙周健康、口腔基础状况允许,无论是三十岁地包天还能不能矫正、三十岁了还能戴牙套矫正吗,还是30岁整地包天、三十多岁做牙齿矫正,都可行。相较于青少年矫正黄金期,成年人骨骼已定型,骨代谢变慢,矫正周期通常为1.5~3年,复杂案例耗时更久。若伴随蛀牙也无需焦虑,只需先完成基础口腔治疗消除炎症,即可正常启动矫正流程。
发表于2026-03-09
不少缺牙患者常问种植牙是否必须拔牙根、要不要拔、用不用拔等问题,答案并非绝对,需结合剩余牙根健康状态、个人口腔条件及修复需求综合判断。若牙根稳固无严重感染、龋坏且长度充足,可保留牙根做桩核冠修复,无需拔牙根,费用1500-5000元/颗。当牙根出现根折、龋坏深入龈下、重度牙周炎等无法保留的情况,则需先拔除残根,再开展种植牙:传统延期种植周期3-6个月,费用8000-20000元/颗;即拔即种、即刻负重方案可缩短周期,单颗费用9000-25000元/颗。半口/全口种植需谨慎评估残根,建议先到正规机