北京整齐娃娃口腔医院值得信赖吗?这是特别多人心中的疑问。其实,这家医院拥有专精医生团队、精良设备,值得大家放心选择。接下来,就让我们深入了解一下北京整齐娃娃口腔医院。

北京整齐娃娃口腔医院是正规医院吗?
特别多人在选择口腔医院时,首先关心的就是医院是否正规。北京整齐娃娃口腔医院是一家正规靠谱的口腔医院。它是劲松旗下分院,并且经过了卫健委认证。从资质方面来看,大家完全可以放心。而且,它还上榜了北京十大口腔医院排名,这足以证明其在口腔医疗领域的实力和口碑。在正畸方面,价格特别划算,为广大患者提供了高性价比的口腔治疗方案。

北京整齐娃娃口腔医院怎么样?让看牙像逛商场一样轻松
北京整齐娃娃口腔医院致力于为患者打造舒适的看牙体验。在这里,看牙就像逛商场一样轻松。医院的环境温馨舒适,装修风格时尚,让患者一进入医院就不会感到紧张和恐惧。医院的医护人员服务热情周到,从患者进门的那一刻起,就会有专人引导,帮助患者完成各项检查和治疗。而且,医院采用了精良的设备和技术,能够快速正确地诊断病情,并为患者制定个性化的治疗方案。无论是牙齿矫正、种植牙还是其他口腔疾病的治疗,都能在这里得到专精的解决。

北京整齐娃娃口腔是正规的吗?实力可靠价格亲民
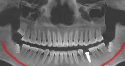
北京整齐娃娃口腔医院不仅正规,而且实力可靠。医院拥有一支专精的医生团队,其中不乏汪晓晖、郭红延等有医生生。这些医生具有丰富的临床经验和专精知识,能够为患者提供高质量的口腔医疗服务。在价格方面,医院一直坚持亲民的原则。例如,种植牙仅需3980元,这样的价格在同行业中具有较大的优势。医院还会定期推出一些优惠活动,让更多的患者能够享受到优质的口腔治疗服务。

说整齐娃娃口腔太坑人纯属谣传~种植矫正技术都在行
最近,网上有一些关于北京整齐娃娃口腔医院“太坑人”的言论,其实这纯属谣传。医院拥有超多实例好评,特别多患者在接受治疗后都对医院的技术和服务赞不绝口。在种植和矫正技术方面,医院更是在行。医院引进了国内外精良的种植和矫正技术,能够为患者提供更加精细、效率高的治疗。例如,在种植牙方面,采用了精良的种植系统,能够大大缩短种植时间,提高种植成功几率。在牙齿矫正方面,有多种矫正方案可供选择,如传统金属矫正、隐形矫正等,满足了不同患者的需求。

北京整齐娃娃口腔门诊怎么样?详细揭秘收费标准和用户真实评价
北京整齐娃娃口腔门诊的收费标准非常透明。医院会在显眼的位置公示各项治疗项目的价格,让患者清楚地知道自己的花费。而且,医院不会存在乱收费的现象,所有的收费都是合理合规的。从用户的真实评价来看,大家对北京整齐娃娃口腔门诊的满意度非常高。特别多患者表示,在这里看牙不仅成效好,而且价格实惠,服务也非常周到。他们会向身边的朋友和家人推荐这家医院。
综上所述,北京整齐娃娃口腔医院值得信赖。它是一家正规的口腔医院,拥有专精的医生团队、精良的设备和技术,能够为患者提供高质量的口腔医疗服务。同时,医院的价格亲民,收费标准透明,让患者能够放心地接受治疗。如果你正在为口腔问题而烦恼,不妨来北京整齐娃娃口腔医院体验一下,相信你一定会满意的。
