广州曙光口腔医院坑不坑?真实体验揭秘,看它在技术、服务和成效上到底靠不靠谱!这是特别多想要去广州曙光口腔医院看牙的朋友们心中的疑问。在如今琳琅满目的口腔医疗市场中,选择一家靠谱的口腔医院至关重要。接下来,我们就从多个方面来深入了解一下广州曙光口腔医院。

广州曙光口腔医院是正规医院吗?靠谱吗?附价目表
特别多人在选择口腔医院时,首先关心的就是医院是否正规。广州曙光口腔医院是一家正规的口腔医疗机构。从执业资质来看,它拥有相关部门颁发的合法经营许可证和医疗执业许可证,这是其合法开展口腔医疗服务的基本保护。
在设备和团队方面,广州曙光口腔医院引进了国内外精良的口腔诊疗设备,如数字化口腔全景机、种植导航系统等,这些设备能够为医生提供更正确的诊断依据,提高治疗的精细度。同时,医院汇聚了一批经验多、技术不错的口腔医生,他们在种植牙、牙齿矫正、牙齿美容等领域都有着深入的研究和丰富的临床经验。
以下是广州曙光口腔医院的部分价目表:
| 项目 | 价格 |
|---|---|
| 单颗种植牙 | 5000 - 20000元 |
| 传统金属牙齿矫正 | 8000 - 15000元 |
| 隐形牙齿矫正 | 20000 - 50000元 |
| 牙齿美白 | 1000 - 3000元 |

广州曙光口腔医院口碑到底咋样?收费贵不贵?私立医院评价靠谱
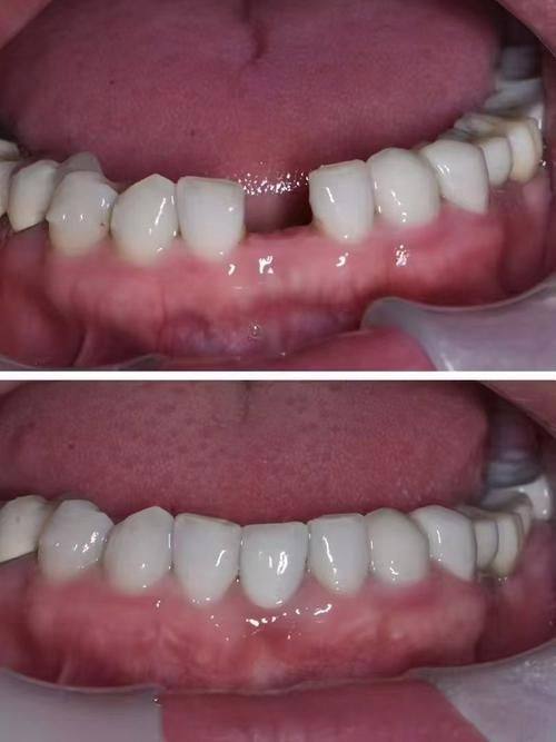
广州曙光口腔医院的口碑在患者群体中还是相当不错的。特别多患者在接受治疗后,都对医院的技术和服务给予了高度评价。在技术方面,医院的种植牙技术尤其受到患者的称赞。其采用的精良种植技术,能够缩短种植时间,减少患者的痛苦,并且种植成效稳定,使用寿命长。
在服务方面,广州曙光口腔医院始终坚持以患者为中 心的服务理念。从患者进入医院开始,就有专精的导医为其提供全程引导服务,帮助患者挂号、缴费、安排检查等。在治疗过程中,医生会耐心地与患者沟通,了解患者的需求和担忧,并给予详细的解答和建议。治疗结束后,医院还会对患者进行定期回访,了解患者的修复情况,提供必要的修复指导。
关于收费问题,广州曙光口腔医院的收费是比较合理的。虽然它是一家私立医院,但并没有出现乱收费的现象。医院的收费标准是根据市场行情和治疗项目的成本来制定的,并且会在显眼的位置公示,让患者清楚地了解每一项费用的用途。与一些国有医院相比,广州曙光口腔医院在一些项目上的收费甚至更具优势。

广州曙光口腔医院咋样?私立医院评价靠谱,还有免费种植牙
广州曙光口腔医院经常会推出一些优惠活动,其中免费种植牙活动就吸引了特别多患者的关注。这些活动通常是为了回馈广大患者的支持,同时也是为了让更多的人能够享受到高质量的口腔医疗服务。不过,免费种植牙活动一般会有一定的条件限制,比如需要满足一定的年龄、口腔状况等要求。
除了免费种植牙活动外,广州曙光口腔医院在其他方面也表现出色。在种植牙技术上,医院不断引进和创新,采用了多种精良的种植系统,如瑞士ITI种植系统、德国费亚丹种植系统等,能够根据患者的不同情况选择更适合的种植方案。同时,医院的医生在种植牙手术方面有着丰富的经验,能够熟练地应对各种复杂的种植情况,确保手术的成功几率和安心性。
在牙齿矫正方面,广州曙光口腔医院也有着独特的优势。医院提供多种牙齿矫正方式,如传统金属矫正、陶瓷矫正、隐形矫正等,满足了不同患者的需求。医生会根据患者的牙齿情况和面部特征,制定个性化的矫正方案,让患者在矫正牙齿的同时,也能提升面部美观度。

求告知广州曙光是公办还是私立医院?曙光口腔哪个医生做种植牙靠谱
广州曙光口腔医院是一家私立医院。虽然是私立医院,但它在口腔医疗领域的实力不容小觑。在众多医生中,有几位医生在种植牙方面表现非常出色。
比如张医生,他从事口腔种植工作多年,有着丰富的临床经验。他擅长各种复杂的种植牙手术,如即刻种植、allon4种植等。在手术过程中,他操作熟练、精细,能够较大程度地减少患者的痛苦。而且,他对待患者非常耐心,会详细地为患者讲解种植方案和术后注意事项,让患者能够安心接受治疗。
还有李医生,他毕业于国内有名的口腔医学校校,并且多次参加国内外的口腔种植学术交流活动,掌握了全新的种植技术和理念。他在种植牙手术中注重细节,追求理想的种植成效,深受患者的信赖和好评。

广州曙光口腔医院靠谱吗?全方面揭秘:正规性、特色及口碑究竟如何?
综合来看,广州曙光口腔医院是一家非常靠谱的口腔医院。从正规性方面,它拥有合法的执业资质,精良的设备和专精的团队,为患者提供了可靠的医疗保护。在特色方面,医院的种植牙技术和牙齿矫正技术都具有独特的优势,能够满足不同患者的需求。在口碑方面,患者对医院的技术和服务都给予了高度评价,说明医院在实际运营中确实做到了让患者满意。
如果你正在为选择一家靠谱的口腔医院而烦恼,不妨考虑一下广州曙光口腔医院。它在技术、服务和成效上都有着出色的表现,相信能够为你提供优质的口腔医疗服务。
总之,广州曙光口腔医院并不坑,它在技术、服务和成效上都有着可靠的保护。无论是从医院的正规性、口碑,还是从医生的技术水平和收费合理性来看,它都是一家值得信赖的口腔医院。如果你有口腔方面的问题,不妨去广州曙光口腔医院体验一下。
