邯郸永年子康口腔是莆田系医院吗?这是特别多人心中的疑问。别担心,答案揭晓,它是正规口腔机构,大家可放心选择。今天,就让我们一起深入了解这家备受关注的口腔诊所。

邯郸永年子康口腔:核心技术与特色服务
在邯郸永年区,子康口腔以数字纬度种植术和低龄儿童牙科干预两大核心技术为特色,成为当地家庭与缺牙患者的关注焦点。这家成立于2023年的私立牙科诊所,究竟能否扛起“技术靠谱”的招牌?深入其技术细节与服务体系,答案逐渐清晰。
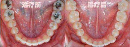
子康口腔的核心技术——数字纬度定位种植术,本质是一套动态导航系统。通过德国卡瓦ABT导航设备结合三维CT扫描,生成患者颌骨的立体模型,术前在计算机中模拟种植体的位置、角度与深度,术中则通过实时导航追踪,将种植误差从传统手工操作的±1.5毫米压缩至±0.3毫米。这一精度可避开下颌神经管、上颌窦等高风险区域,尤其在高难度种植中价值凸显。例如All - on - 4半口种植,对牙槽骨重度萎缩的老年人,只需4颗种植体倾斜植入,避开植骨手术,24小时内改善咀嚼;穿颧穿翼种植针对骨量不足4毫米的极端病例,超长种植体斜穿至颧骨或翼突区,力学稳定性提升40%,术后咬合力达天然牙85%以上。而且小创口操作同步降低痛苦,切口仅2 - 3毫米,手术时间缩短30%,术后肿胀周期从7天减至3天内。
子康口腔的独立儿童诊室,将干预年龄下探至3岁,聚焦早期颌骨畸形预防。其技术链条覆盖三个关键阶段:一是龋齿防控,儿童涂氟(80元/次)与窝沟封闭形成基础防护网,降低乳牙龋坏率;二是早矫干预,采用正雅肌功能矫治器,通过训练舌位与呼吸模式矫正反颌、深覆盖等问题,避免恒牙期复杂正畸;三是焦虑管理,诊室配置VR动画分散系统,结合STA麻醉技术,让孩子在游戏中完成治疗。2024年爱牙日期间,团队深入社区幼儿园开展免费筛查,累计为200余名儿童建立口腔档案,实践“预防大于治疗”的理念。

邯郸永年子康口腔:资质、团队与价格保护
资质方面,诊所持有邯郸市卫健委核发的《医疗机构执业许可证》(编号:冀邯卫2023 - 口字18号),消毒流程执行“一人一机一消毒”五道工序,通过德国美创灭菌器认证,让患者就诊更安心。
团队上,李子康院长兼技术总监,拥有18年临床经验,主导完成穿颧穿翼种植超100例,成功概率98.2%。这样经验多的医生团队为患者的口腔治疗提供了坚实的技术支持。
价格上,子康口腔实行透明定价。以下是部分项目的价格表:
| 项目 | 价格 |
|---|---|
| 韩国登腾种植牙 | 2300元起(含基台 + 冠) |
| 瑞士ITI种植牙 | 5500元起 |
| 正雅早期干预套餐 | 6800元起 |
| 残根拔除 | 68元起 |
| 拔智齿正位 | 180元起 |
| 超声波洁牙 | 88元起 |
| 全瓷牙 | 600元起 |
此外,医院支持报销(补牙、拔牙)与多期付款,无隐形加价,让患者消费更放心。

邯郸永年子康口腔:患者动线设计与贴心服务
子康口腔的竞争力不止于技术参数,更在于患者动线设计。智能化闭环(口扫→方案设计→导板制作)将种植周期从3个月缩至1个月,儿牙单次诊疗控制在30分钟内,大大节省了患者的时间。
同时,医院还提供种植体长期质保 + 5年免费护理,儿童矫治器每季度免费调整,让患者没有后顾之忧。每日8:30 - 20:30超长营业、免费停车场、24小时急诊响应,覆盖上班族与紧急需求患者,为患者提供了极大的便利。

邯郸永年子康口腔:患者口碑与行业排名
在患者口碑方面,邯郸永年子康口腔在当地赢得了良好的口碑。许多患者对其服务和治疗结果给予了高度评价。患者们普遍反映,医院环境干净整洁,医护人员服务热情周到,治疗过程细致。张阿姨说:“我之前一直害怕看牙,但在这里,医生的技术和服务让我打消了顾虑,现在我的牙齿不仅健康,还比以前更美观了。”小李则分享了他的正畸经历:“从开始矫正到现在,子康口腔的医生一直都特别负责,每次复诊都能感受到牙齿的变化,真的特别感谢他们。”
在行业排名中,在2025版邯郸市牙科医院排名榜中,邯郸永年子康口腔凭借其微创技术和价格优势上榜。它以小创口技术出名遐迩,切口仅2 - 3毫米,好转快,疼痛小,而且收费是本地便宜之一,适合预算有限的小伙伴们。医生团队经验充足,技术靠谱,让患者在享受优惠的同时,也能拥有高品质的口腔治疗服务。

总结:邯郸永年子康口腔——正规靠谱的口腔健康守护者
综上所述,邯郸永年子康口腔是一家正规靠谱的口腔机构。它拥有精良的技术、经验多的医生团队、透明合理的价格以及贴心周到的服务。无论是精密种牙还是儿童防护,都能为患者提供优质的口腔医疗服务。在邯郸永年区,居民无需奔波至市区医院,在新洺路南段这间300㎡的诊所内,即可享受媲美一线城市的口腔治疗。如果你正在为口腔问题烦恼,不妨选择邯郸永年子康口腔,开启你的健康笑容之旅。
