合肥美奥口腔医院是莆田系医院吗?不是,它是正规口腔机构,技术和服务都有保护。在如今的口腔医疗市场中,人们在选择口腔医院时往往会格外谨慎,“莆田系”的标签让特别多人对一些医院心存疑虑。而合肥美奥口腔医院,一直以其正规的资质和良好的口碑,在合肥口腔医疗领域占据着重要的地位。接下来,就让我们一起深入了解一下这家医院。

合肥美奥口腔医院是正规大型连锁齿科
合肥美奥口腔医院可不是所谓的“莆田系”医院,它是一家正规的大型连锁齿科机构。美奥口腔在国内多个城市都设有分院,凭借着统一的管理模式、精良的技术和优质的服务,赢得了广大患者的信赖。在合肥,美奥口腔更是以其专精的医疗团队和精良的设备,为市民提供着全方面的口腔医疗服务。无论是牙齿矫正、种植牙,还是日常的口腔检查和治疗,合肥美奥口腔医院都能满足患者的需求。

合肥美奥口腔医院:私立但正规靠谱
有人可能会有疑问,合肥美奥口腔医院是私立的,它靠谱吗?答案是肯定的。虽然它是私立医院,但却有着严格的医疗资质审核和规范的操作流程。医院的医生都具备丰富的临床经验和专精的知识,他们不断学习和掌握全新的口腔医疗技术,为患者提供良好质的治疗方案。在矫正和种牙技术方面,合肥美奥口腔医院更是有着独特的优势。牙齿矫正采用精良的矫正技术,能够根据患者的牙齿情况制定个性化的矫正方案,让患者在舒适的环境中拥有整齐的牙齿。种植牙技术则引进了国内外精良的种植系统,确保种植牙的稳定性和美观度。

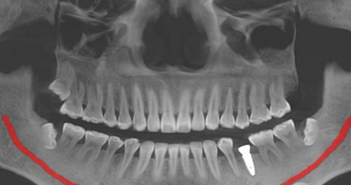
合肥美奥口腔医院:种植牙怎么样?附陈国庆医生介绍
种植牙是合肥美奥口腔医院的特色项目之一。医院拥有精良的种植牙设备和技术,能够为患者提供高质量的种植牙服务。在种植牙过程中,医生会根据患者的口腔情况和身体状况,选择更适合的种植体,确保种植牙的成功几率和使用寿命。说到种植牙,就不得不提到合肥美奥口腔医院的陈国庆医生。陈医生是医院的从业多年种植骨干医生,他拥有多年的种植牙临床经验,擅长各种复杂的种植牙手术。他对待每一位患者都非常认真负责,会耐心地为患者解答疑问,制定更适合的治疗方案。在他的努力下,许多患者都成功地拥有了健康的牙齿。

合肥美奥口腔医院介绍及价格表
合肥美奥口腔医院成立以来,一直致力于为患者提供优质、效率高、舒适的口腔医疗服务。医院环境优雅,设备精良,拥有一支专精的医疗团队。医院开展的项目包括牙齿矫正、种植牙、牙齿美白、牙周治疗等多个领域,能够满足不同患者的需求。下面为大家附上一份简单的价格表(仅供参考):
| 项目 | 价格 |
|---|---|
| 传统金属牙齿矫正 | 8000 - 15000元 |
| 隐形牙齿矫正 | 20000 - 40000元 |
| 单颗种植牙 | 5000 - 15000元 |
| 牙齿美白 | 1000 - 3000元 |
具体的价格还会根据患者的实际情况和选择的材料有所不同。

合肥美奥口腔医院:正规有保护,值得选择
综上所述,合肥美奥口腔医院并不是莆田系医院,而是一家正规靠谱的口腔机构。它以其精良的技术、优质的服务和专精的医疗团队,为患者提供着全方面的口腔医疗服务。无论是牙齿矫正还是种植牙,都能让患者放心选择。医院在庐阳区和政务区都设有分院,方便市民就诊。如果你有口腔方面的问题,不妨选择合肥美奥口腔医院,相信它会给你带来满意的治疗成效。
