深圳麦芽口腔评价口碑怎么样?这是特别多想要看牙的朋友心中的疑问。其实,顾客反馈深圳麦芽口腔技术好服务优,是当地值得信赖的口腔机构。接下来,我们就从多个方面来深入了解一下深圳麦芽口腔。

深圳麦芽口腔医院怎么样好吗?收费是不是特别贵,口碑怎样?
深圳麦芽口腔医院在当地的口碑相当不错。特别多患者都反馈这里的医生技术不错,对待患者认真负责。在治疗过程中,医生会详细地向患者解释病情和治疗方案,让患者清楚每一个环节。比如在种植牙手术中,医生凭借丰富的经验和精良的技术,能够精细地植入种植体,大大提高了手术的成功几率。
关于收费问题,深圳麦芽口腔医院的收费是比较合理的。它并没有因为自身的技术优势和良好的口碑而抬高价格。医院会根据不同的治疗项目和患者的具体情况制定合理的收费标准。为了让大家更直观地了解,下面给大家列举一些常见项目的价格范围(仅供参考):
| 项目 | 价格范围 |
|---|---|
| 普通洗牙 | 100 - 300元 |
| 传统金属矫正 | 8000 - 15000元 |
| 种植牙(单颗) | 5000 - 20000元 |
深圳麦芽口腔医院是国有的吗?不是公办是私立,但患者反馈口碑好实力强
深圳麦芽口腔医院是一家私立口腔医院。虽然它不是公办的,但这并不影响它在患者心中的地位。相反,私立医院在服务和技术创新方面往往更具优势。深圳麦芽口腔医院拥有一支高素质的医疗团队,医生们不仅具备扎实的专精知识,还不断参加国内外的学术交流活动,学习全新的口腔医疗技术。
医院还引进了一系列精良的口腔诊疗设备,如数字化口腔CT、激光治疗设备等。这些设备能够更正确地诊断病情,为患者提供更精细的治疗方案。而且,私立医院的服务更加人性化,患者在就诊过程中能够享受到更贴心的服务,从预约挂号到治疗结束后的回访,每一个环节都让人感到舒适和安心。

深圳麦芽口腔医院是正规的私立连锁牙科,市民对种植牙有特别高的口碑评价
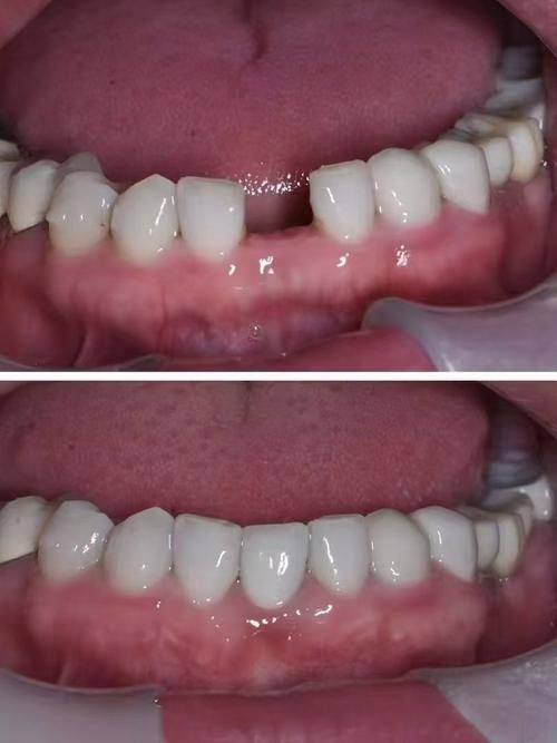
深圳麦芽口腔医院是正规的私立连锁牙科机构。它在深圳多个区域都设有分院,方便市民就近就诊。在种植牙方面,深圳麦芽口腔医院有着显著的优势。医院采用的是国内外精良的种植牙技术,如即刻种植、微创种植等。这些技术能够减少患者的痛苦,缩短治疗周期。
特别多市民在深圳麦芽口腔医院做了种植牙后,都给出了特别高的评价。他们表示种植牙的成效非常好,不仅外观上与真牙几乎无异,而且咀嚼功能也修复得良好。医院的医生会根据患者的口腔情况和需求,选择合适的种植体品牌和型号,确保种植牙的质量和稳定性。

深圳麦芽口腔医院口碑怎么样?去过种植牙和正畸的朋友都说好价格也不贵
去过深圳麦芽口腔医院做种植牙和正畸的朋友都对其赞不绝口。在正畸方面,医院提供多种正畸方案供患者选择,如传统金属矫正、陶瓷矫正、隐形矫正等。医生会根据患者的牙齿情况和个人需求,制定个性化的正畸方案。
患者在正畸过程中,医生会定期进行复诊,及时调整矫正力度,确保正畸成效。而且,深圳麦芽口腔医院的正畸价格相对合理,不会给患者带来太大的经济负担。特别多患者表示,在这里做正畸不仅成效好,而且价格实惠,是非常明智的选择。
深圳麦芽口腔医院是正规医院吗?牙友们好奇麦芽口碑评价咋样
深圳麦芽口腔医院是一家正规的医院,它拥有相关的医疗资质和执业许可证。从牙友们的口碑评价来看,深圳麦芽口腔医院值得信赖。医院注重 医疗质量和服务水平的提升,不断优化就诊流程,提高患者的就诊体验。
在服务方面,医院的工作人员热情周到,能够及时解答患者的疑问。在技术方面,医生们凭借不错的医术为患者解决了各种口腔问题。无论是牙齿美白、补牙、拔牙还是复杂的口腔手术,深圳麦芽口腔医院都能够提供专精的治疗。
总的来说,深圳麦芽口腔评价口碑确实特别不错。它以不错的技术、优质的服务和合理的价格,赢得了广大患者的认可和信赖。如果你正在为口腔问题烦恼,不妨考虑一下深圳麦芽口腔医院。
