德阳新桥口腔门诊部值得信赖吗?这是特别多德阳市民关心的问题。其实,德阳新桥口腔门诊部凭借专精医生团队、精良设备,值得大家放心选择!下面,让我们一起深入了解这家口腔门诊部。

德阳新桥口腔门诊部:正规可靠的连锁口腔机构
德阳新桥口腔作为四川省内一家大型连锁口腔机构,隶属于美维口腔集团。自入驻德阳以来,凭借其可靠的医疗技术和优质的服务质量,赢得了广大患者的信赖。它是总院位于成都的正规医疗机构,在当地享有极高的声誉,不少当地老百姓以及周边地区的群众都选择在这里解决口腔问题。该门诊部经德阳市卫生健康委员会批准成立(登记号:PDY5106XXXXXX),官网可查,而且实行“透明收费”,洗牙、补牙、种植牙等项目明码标价,没有隐形消费。

德阳新桥口腔门诊部:特色项目与精良设备
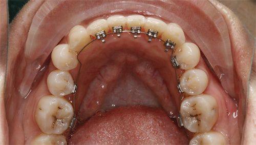
德阳新桥口腔门诊部拥有多个特色项目。种植修复中 心配备了数套代表国内外新型水平的种植系统,以及全新的数字化全景影像系统和独立手术室,为种植修复治疗提供了全力保护。其3D数码隐形正畸技术可以提前预知矫正反应,无论是成人还是儿童,都能在不改变生活习惯的前提下轻松矫正牙齿,让矫正过程更加隐蔽和舒适。此外,门诊部还设有儿童齿科,配备进口儿童专用牙椅,并同步播放儿童喜欢的视频及动画片,以降低儿童就诊的恐惧心理,让儿童在舒适的环境中看牙。
门诊部还引进了众多高端新型的口腔医疗设备,如德国卡瓦种植机、美国3shape口腔扫描仪、意大利NewTom CT等。以种植牙为例,传统种植依赖医生经验,而新桥口腔引入的数字导板技术,能通过CT扫描生成患者口腔三维模型,医生在电脑上提前规划种植位置、角度和深度,手术时像“导航”一样精细,创伤小、修复快,尤其适合牙槽骨条件差的患者。正畸治疗中,iTero口内扫描仪5分钟就能获取牙齿3D数据,患者当场就能看到矫正后的结果模拟,避免了传统取模的异物感和等待时间,儿童患者也能轻松配合。

德阳新桥口腔门诊部:实力雄厚的医生团队
德阳新桥口腔门诊部汇聚了一大批口腔医学领域的佼佼者。马燕主医师是新桥口腔种植专科的领头者,以其深厚的种植修复技术和独到的美学理念著称,擅长各类复杂的种植修复治疗。陈刚技术总监是新桥口腔外科领域的显要人物,擅长龋病、牙髓病、根尖病的精密诊断与治疗,尤其在根管治疗、根尖外科手术方面有着极高的造诣。易华波主医师以其多方面的口腔修复技术和实力强的种植技术出名,特别是在半口/全口即刻负重种植修复领域有着深厚的造诣。
此外,还有孙玉枫医生,师从国内出名种植医师刘果生,擅长即刻种植、小创口种植和美学修复,拥有登腾种植操作、盖氏骨增量等多项海内外认证,临床经验充足,能根据患者牙槽骨条件设计个性化方案;赵丹医生,是3D数码隐形正畸(隐适美、时代天使)双认证医师,擅长龅牙、地包天等复杂矫正,能精密调整咬合关系,让患者笑得更自信。而且医院实行“总院医师定期坐诊”制度,遇到疑难病例时,成都总院的医师会直接到德阳分院会诊,确保治疗方案的科学性。

德阳新桥口腔门诊部:真实的牙友口碑与临床反馈
牙友们对德阳新桥口腔门诊部的评价颇高。牙友A表示,家里的姥姥在德阳新桥口腔做过种植牙,结果非常好,所以这次自己也选择来这里进行牙齿矫正。医生给出的隐形牙套方案让她非常满意,医生讲解仔细,服务态度特别好,技术也特别扎实。牙友B则因为智齿问题找到了新桥口腔,医生拍了牙片后建议进行微创拔牙,手术过程顺利,价格合理,让她感到非常庆幸遇到了好医院。
临床反馈也十分出色。“缺牙10年,终于敢大口吃饭了!”52岁的张阿姨在新桥口腔做了全口种植后,逢人便夸。她原本担心种植牙“假”,但医生根据她的牙槽骨条件设计了“即刻负重”方案,上午种牙下午就能吃软食,现在吃苹果、啃排骨都不在话下。年轻人小李则对正畸结果满意:“以前龅牙不敢笑,现在朋友都说我像换了个人。”他选择的时代天使隐形牙套,既不影响社交,又悄悄排齐了牙齿,全程没有出现“牙套脸”等副作用。

德阳新桥口腔门诊部:合理的收费标准
德阳新桥口腔门诊部的收费标准合理透明。以下是部分项目的收费情况:
| 项目 | 价格区间 | 适合人群 | 治疗周期 |
|---|---|---|---|
| 韩国登腾种植体 | 3980元起 | 有缺牙问题的人群 | 根据个人情况而定 |
| 德国ICX种植体 | 7800元起 | 对种植体质量要求较高者 | 根据个人情况而定 |
| 瑞士ITI种植体 | 12800元起 | 追求高品质种植体者 | 根据个人情况而定 |
| 半口All - on - 4种植 | 3.8万元起 | 半口缺牙患者 | 根据个人情况而定 |
| 全口All - on - 8种植 | 6.5万元起 | 全口缺牙患者 | 根据个人情况而定 |
| 金属托槽矫正 | 8800元起 | 青少年及预算有限者 | 1.5 - 2年 |
| 隐形矫正(时代天使) | 1.8万元起 | 职场人士、注重美观者 | 1.5 - 3年 |
| 儿童早期干预(MRC) | 4000元起 | 3 - 12岁地包天、口呼吸儿童 | 6 - 18个月 |
| 舌侧矫正 | 4.5万元起 | 高隐形需求患者 | 2 - 3年 |
德阳新桥口腔门诊部凭借专精的医生团队、精良的设备、良好的牙友口碑以及合理的收费标准,是一家值得信赖的口腔医疗机构。如果您正在为口腔问题烦恼,不妨选择德阳新桥口腔门诊部,在这里您可以放心地解决各种口腔问题,重拾健康美丽的笑容。
