大连米嘉口腔价格表来啦!涵盖多种项目,价格合理让你轻松拥有健康美牙!在大连这座美丽的海滨城市,口腔健康越来越受到市民们的重视。大连米嘉口腔作为当地口腔医疗领域的佼佼者,一直秉持着“以患者为中 心,以质量为根本”的服务理念,为市民们提供高品质、全方面的口腔诊疗服务。今天,就让我们一起来详细了解一下大连米嘉口腔的价格表,看看这里的诊疗项目收费到底有多划算。

大连米嘉口腔概况:
大连米嘉口腔位于沙河口区五一路107 - 12号,地理位置优越,交通便利。自2021年创办以来,米嘉口腔始终将大连老百姓的口腔健康视为己任,致力于打造现代化、舒适化的高品质口腔服务。医院配备了多种进口仪器设备,如CT机、口扫仪等,确保每一位患者都能享受到精细、有效的诊疗服务。而且,医院的医生团队由经验多的口腔医师组成,涵盖种植、正畸、修复等多个领域,定期参加国内外学术交流,紧跟口腔医疗技术潮流。

大连米嘉口腔价格表大揭秘:
大连米嘉口腔的价格表涵盖了种植牙、牙齿矫正、口腔修复、儿童齿科、综合治疗等多个项目,价格合理且公开透明,以下为您详细介绍:
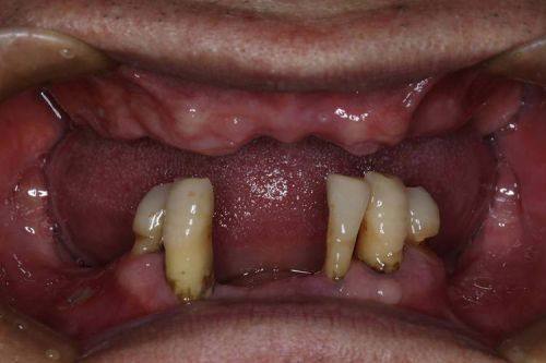
种植牙项目
| 品牌 | 价格 |
|---|---|
| 国产康德泰种植牙 | 3307元起/颗 |
| 韩国登腾种植牙 | 3969元起/颗 |
| 美国皓圣种植牙 | 3950元起/颗 |
| 瑞士士卓曼种植牙 | 9969元起/颗 |
| 德国朗斯种植牙 | 4950元起/颗 |
| 德国贝格bego种植体 | 5051元起/颗 |
| 法国安卓健Anthogyr种植牙 | 7596元起/颗 |
| 瑞典诺贝尔CC种植牙 | 8733元起/颗 |
| 意大利西泰克(C - Tech)种植牙 | 7210元起/颗 |
| 美国杰美种植体 | 7601元起/颗 |
| 瑞典诺贝尔种植牙 | 5042元起/颗 |
| 半口All - on - 4(韩系) | 39800元起 |
| 全口All - on - 6(瑞士) | 78000元起 |
牙齿矫正项目
| 类型 | 价格 |
|---|---|
| 传统金属托槽矫正 | 4980元起 |
| 自锁托槽矫正 | 9800元起 |
| 美国3M自锁托槽矫正 | 15800元起 |
| 德国非凡自锁托槽矫正 | 16000元起 |
| 欧晴自锁托槽矫正 | 13000元起 |
| 陶瓷自锁托槽矫正 | 17800元起 |
| 3M陶瓷自锁矫正 | 18800元起 |
| 隐适美隐形矫正 | 32000元起 |
| 隐适美隐形矫正双模 | 48000元起 |
| 时代天使cofos隐形矫正 | 18000元起 |
| 时代天使双模隐形矫正 | 34000元起 |
| 正雅隐形矫正 | 19900元起 |
| 美立刻隐形矫正 | 16000元起 |
| 舌侧矫正 | 60000元起 |
口腔修复项目
| 项目 | 价格 |
|---|---|
| 歌兰迪欧树脂补牙 | 268元起 |
| 3M纳米树脂补牙 | 价格根据材料与难度浮动 |
| 超薄全瓷贴面 | 1800 - 4500元起 |
| 全瓷牙冠 | 根据品牌与工艺定价 |
儿童齿科项目
| 项目 | 价格 |
|---|---|
| 儿童早期干预矫正 | 4999元起 |
| 儿童龋齿治疗与预防 | 价格根据项目与材料浮动 |
综合治疗项目
| 项目 | 价格 |
|---|---|
| 上颌智齿拔除 | 159 - 299元起 |
| 基础洁牙(超声波洗牙) | 40元起(不含喷砂) |
| 深度洁牙(含喷砂) | 110元起 |
| 冷光美白 | 300元起 |
| 牙周治疗 | 根据病情与方案定价 |

大连米嘉口腔价格优势的原因:
特别多人会好奇,大连米嘉口腔为什么价格这么合理呢?其实主要有以下几个原因:
植体采购价优势:口腔诊所的价格差异,大部分由材料成本决定。米嘉口腔直连品牌方,拒绝代理加价,像韩国登腾、美国皓圣等植体通过厂家直供,省去代理环节。还采用国产替代策略响应集采政策,主动引入国产康德泰种植体,价格比进口品牌低特别多。同时,耗材批量采购锁定低价,补牙树脂、牙冠瓷块等耗材按季度集中采购,降低了成本。
成本控制策略:私立诊所的灵活机制,让米嘉在成本控制上表现出色。采用“租赁 + 共享”模式引入CBCT、口扫仪等高端设备,避免一次性投入数百万。实行扁平化管理减人力开支,仅设7间诊室6张牙椅,医护团队不足20人,无行政冗员。选址在沙河口区非核心商圈,租金低于中山区同行,还将儿童诊室工作日兼作会议区,提高空间利用率。
政策与促销策略:米嘉吃透医疗保险与集采政策,洗牙、补牙等基础项目接入医疗保险结算,患者自付部分低。种植牙紧跟集采调价,国产康德泰价格对标国有医院集采价,但免去排队耗时。还大促常态化制造价格锚点,“618”“双11”推出种植牙3969元、矫正4980元“钩子价”,引流后靠高复购项目平衡利润。采用套餐式定价锁定长期客户,半口种植牙套餐含全部基台与国产冠,价格比国有医院同方案拆项收费低。

大连米嘉口腔的服务与质量保护
低价并不意味着低质,大连米嘉口腔在确保价格合理的同时,也非常注重服务与质量保护。
医生团队实力雄厚:种植施政(10年经验)、正畸总监姜丽丽(隐适美认证医师)等医生均参与一线治疗,但医院不包装“骨干医生号”,避免溢价。同等资历医生在米嘉种牙收费比私立高端机构低特别多。同时,采用数字化减耗提效,3D导板种植技术将手术时间大幅压缩,口扫仪替代传统取模,减少耗材浪费。还实行分级手术体系控风险,复杂病例由总监级医生操作,基础项目由青年医师处理。
设备精良齐全:医院配备了新型的口腔医疗设备,包括数字化口腔扫描仪、口腔CT等,能够严谨地测量患者的口腔数据和制定手术方案。
服务贴心周到:大连米嘉口腔重视患者的就医体验,提供温馨舒适的就诊环境和贴心的服务。从询问、检查、手术到术后跟踪,全程都有专精的医护人员陪伴和指导。而且实行价格透明制度,所有费用均公开透明,无隐性消费。种植牙还提供5年质保,复诊免费,降低患者后期维护成本。

大连米嘉口腔:价格合理,让你轻松拥有健康美牙
综上所述,大连米嘉口腔价格表涵盖多种项目,价格合理,无论是种植牙、牙齿矫正,还是口腔修复、儿童齿科等项目,都能满足不同患者的需求。而且医院通过多种方式控制成本,让利给患者,同时确保了服务质量和技术水平。如果你正在为口腔问题烦恼,不妨考虑一下大连米嘉口腔,在这里,你可以以实惠的价格享受到高品质的口腔诊疗服务,轻松拥有健康美牙!
