不少需要做门牙根管治疗的患者,术前总会反复搜索“门牙根管治疗从哪钻洞”“门牙根管治疗怎么钻孔”相关内容,甚至会找门牙根管治疗的步骤过程视频反复观看,既担心钻孔会影响门牙美观,又怕操作不当损伤牙齿健康组织。毕竟门牙承担着面部美观和切割食物的双重作用,任何治疗细节都容不得马虎。其实,门牙根管治疗的钻洞位置并非固定不变,医生会结合牙齿解剖结构、病变情况等多方面因素灵活选择,同时整个钻孔操作有严格的技术规范,既能确保顺利进入髓腔完成治疗,又能较大程度保留牙体组织、维持牙齿功能。接下来,我们就从钻洞位置选择、操作细节、术后影响及常见疑问等方面,为大家做全方面解析。

一、门牙根管治疗从哪钻洞
门牙根管治疗的钻洞位置需结合牙齿实际情况灵活选择,常规以舌侧入路为主,特殊情况会针对性调整,具体可分为以下两类:
常规钻洞位置:优选舌侧,可选咬合面。临床更常用的入路是舌侧(内侧)中央窝/舌面,这是因为舌侧中央窝的牙釉质较薄,能减少对健康牙体组织的破坏,还能直接直达牙髓腔,同时避免损伤邻牙。另外,舌面平坦的结构让操作视野更佳,医生能轻松控制钻孔的深度和方向,而且这个位置远离唇面美观区,治疗后对外观影响极小。部分情况下,医生也会根据牙齿的解剖结构和病变范围,选择从咬合面钻洞,但这种情况相对少见,需严格评估牙齿状态后决定。
特殊情况的钻洞位置调整。如果门牙存在大面积唇侧龋坏、外伤导致唇侧牙体受损,医生会选择从唇侧钻洞,直接利用病变区域进入髓腔,既不用额外磨除健康牙体,又能快速直达病灶。对于已经安装烤瓷冠、贴面的修复牙,医生会结合修复体的边缘设计钻洞路径,避免破坏原有修复结构,尽可能保留修复体的完整性。除此之外,医生还会根据牙齿的病变范围、牙根走向等实际情况,做个性化的钻洞位置调整,确保治疗的安心性和有效性。

二、门牙根管治疗钻孔的核心操作要点(对应视频里的关键步骤)
特别多人在看门牙根管治疗的步骤过程视频时,会好奇医生为什么要反复换钻、全程喷水,其实这些都是钻孔操作的关键技术要点,每一步都有严格规范:
精细定位防偏差。术前医生会通过X光片仔细观察牙根走向和髓腔深度,这一步在视频里也能清晰看到,目的是为了精细定位髓腔位置,避免钻孔过深或偏移导致牙根侧穿,损伤牙齿的支持组织。部分复杂病例,医生还会借助口腔CT进行三维定位,进一步提高钻孔的精细度。
分层磨除保牙体。操作时医生会先用小球钻磨除舌侧釉质形成浅凹槽,再逐步扩大孔径暴露髓腔,全程会持续喷水降温,这也是视频里常见的操作细节。因为高速涡轮钻工作时会产生高温,喷水能防止高温损伤牙体组织,同时减少患者的不适感,避免牙髓组织因高温出现坏死。
保留牙体抗折性。门牙的牙冠本身比较薄,操作时医生会严格保留≥1mm的牙本质厚度,维持牙齿的抗折能力,避免术后门牙出现劈裂的情况。这一点在视频里可能不易察觉,但却是医生操作时的核心原则之一,直接关系到门牙术后的使用寿命。
开髓操作细节把控。初始阶段医生会用裂钻垂直于牙体表面钻孔,进入髓腔后改用球钻平行于牙体长轴提拉,完全打开髓腔,这个转换过程在视频里也能看到,目的是为了避免过度磨除牙体组织,同时确保髓腔被完全暴露,方便后续的根管清理和充填。

三、钻洞位置对门牙术后的影响及修复建议
不同的钻洞位置,对门牙术后的影响主要集中在美观和牙齿抗折性上,对应的修复建议也有所不同:
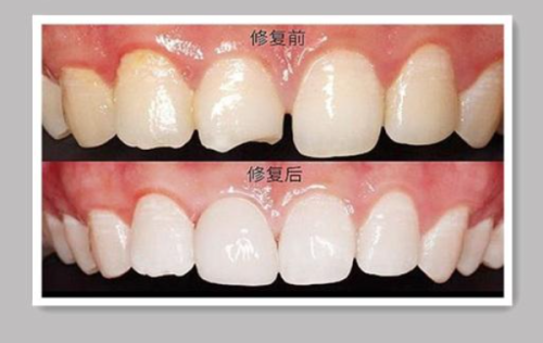
美观影响与修复。如果选择从舌侧开髓,修复后基本不会影响门牙外观,旁人几乎看不到钻孔的痕迹;如果是因为唇侧龋坏或外伤选择唇侧开髓,术后可以通过瓷贴面、全瓷冠等美学修复方式修复门牙的美观度,这些修复方式能理想匹配门牙的颜色和形态,几乎看不出修复痕迹,完全不影响面部美观。
短期术后反应与护理。开髓后牙齿可能会出现敏感或轻微疼痛,通常1-2周就能缓解,这段时间要避免咀嚼硬物,防止牙齿劈裂。特别多患者在视频里看到术后牙齿有轻微不适,不用过度担心,这是正常的术后反应,只要遵循医生的护理建议,避免过冷过热刺激,就能快速修复。
长期保护与修复。根管治疗后的门牙,因为牙髓被清除,牙齿会失去营养供应,脆性增加,无论钻洞位置在哪,都建议通过全冠或嵌体修复,延长牙齿的使用寿命。全冠能全方面包裹门牙,有效防止牙齿劈裂,同时还能修复门牙的美观和功能,是根管后门牙的优选修复方式。

四、关于门牙根管钻孔的常见疑问解答
针对患者们更关心的几个问题,我们结合临床经验和视频里的操作细节,为大家逐一解答:
疑问1:钻孔会损伤健康牙神经吗? 根管治疗的目的就是清除感染或坏死的牙髓(含牙神经),钻孔是进入髓腔的必要操作。而且专精医生会通过术前X光片、CT等手段精细定位髓腔位置,再用器械严格控制钻孔的深度和方向,不会损伤周围的健康组织。特别多患者看视频时担心钻到健康神经,其实只要是在正规医院由专精医生操作,这种情况几乎不会发生,无需过度焦虑。
疑问2:门牙钻孔后能补上吗? 答案是肯定的。开髓孔在根管治疗完成后,会先用树脂材料进行精细充填,修复牙齿的基本形态。后期如果牙齿缺损较大,还可以根据情况选择瓷贴面、全瓷冠等修复方式,完高能修复门牙的外观和功能。从视频里也能看到,术后医生会对开髓孔进行精细的处理,患者不用过度担心牙齿会留下明显缺陷。
回到大家更关心的“门牙根管治疗从哪钻洞”这个核心问题,其实没有完全地固定的答案,它是医生根据牙齿的解剖结构、病变情况、修复体状态等多方面因素综合判断后的个性化选择。无论是舌侧、唇侧还是咬合面入路,每一种钻洞位置的选择都有其合理性和必要性,而且整个钻孔操作有严格的技术规范,能较大程度保护牙体组织、确保治疗成效。同时,针对不同钻洞位置的术后影响,也有对应的美学修复和长期保护方案。如果需要做门牙根管治疗,建议选择正规口腔机构的专精医生,医生会根据你的牙齿情况制定个性化的治疗方案,既解决牙齿病变问题,又能较大程度保留门牙的美观和功能。不要因为过度担心钻洞问题而延误治疗,毕竟门牙的健康和美观都值得重视,专精的治疗能帮你轻松解决困扰,重新拥有健康美观的门牙。
