随着口腔修复技术的普及,种植牙已经成为缺牙患者修复咀嚼功能与面部美观的核心选择,但不少人在面对琳琅满目的牙冠品类时陷入纠结:哪种种植牙的牙冠好?哪种种植牙的牙冠更耐用好用?哪种种植牙的牙冠性价比更高?其实,牙冠的选择不能只看价格,还要结合修复部位、咬合力需求、预算以及美观要求等多维度考量。从临床数据和患者长期反馈来看,不同材料、不同结构的牙冠在性能上差异显著,选对牙冠不仅能延长种植牙的使用寿命,还能避免后期牙龈发黑、金属过敏、影响医学检查等一系列问题。接下来,我们就从材料对比、单颗/全口选型等方面,为大家梳理一份清晰的种植牙牙冠选型攻略,帮你找到更适合自己的那一款。

一、哪种种植牙的牙冠好
综合性能、美观性及临床推荐度,目前主流种植牙牙冠的优先级排序为:全瓷牙冠>烤瓷牙冠>金属铸冠>树脂牙冠,其中全瓷牙冠是临床优选的主流推荐类型,也是目前认可度更高的种植牙牙冠。
全瓷牙冠由陶瓷生物材料制成,无金属基底,核心优势十分突出:一是美观度拉满,色泽、透明度与天然牙高度接近,前牙修复成效逼真,完全没有牙龈发黑的风险;二是生物相容性佳,不含金属成分,不会引发过敏反应,佩戴舒适还能减少对牙髓的刺激;三是不影响医学检查,做核磁、CT等无需摘除;四是耐用性强,尤其是二氧化锆材质,硬度高,抗折损能力优异。仅此的小缺点是相对烤瓷牙冠,咬合力承受能力稍弱,后牙大咬合力区域需谨慎选择,且价格偏高。

二、单颗/前牙修复:选对牙冠兼顾美观与耐用
单颗缺牙或前牙修复的核心需求是自然美观+长期耐用,因此全瓷牙冠是完全地的优选。前牙位于面部显眼位置,牙冠的仿真度直接影响面部整体美观,而全瓷牙冠的色泽、透度都能理想匹配天然牙,不会出现烤瓷牙冠常见的牙龈“黑三角”问题。
不同预算的患者可以对应选择不同品牌的全瓷牙冠:追求高端仿生成效的,可选择瑞典procera全瓷牙,仿真仿生度高,抗破裂性强,可制作6单位以上烤瓷桥,价格10000元/颗起;注重强度和备牙量小的,美国3M拉瓦全瓷牙是不错的选择,强度达1440MPa,前牙内冠薄至0.3mm,备牙时对天然牙的磨损更小,每颗还可验真伪,价格5000元/颗起;追求性价比的,德国威兰德、阿曼吉尔巴赫全瓷牙都是高性价比之选,价格分别为3500元/颗起、2800元/颗起,兼顾强度与颜色自然度,且都可查真伪。

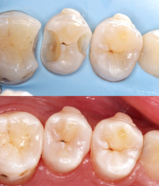
三、后牙大咬合力区域:耐用性优先的牙冠选型
后牙承担着主要的咀嚼功能,咬合力远大于前牙,因此牙冠的耐咬性、强度是核心考量因素。针对后牙区域,有两种靠谱的选型方向:高硬度全瓷牙冠或贵金属烤瓷冠。
高硬度全瓷牙冠以二氧化锆材质为主,比如德国泽康二氧化锆牙冠,强度达900-1200Mpa,强度衰减慢,既能满足后牙的咬合力需求,又能避免金属成分带来的各类问题,价格3500元/颗左右;如果预算有限,贵金属烤瓷冠也是可选方案,比如金铂/纯钛合金烤瓷冠,生物相容性好,纯钛款还不影响核磁检查,价格1500-3800元/颗,但要注意其美观性稍差,牙冠根部可能会露出金属。需要特别提醒的是,普通金属烤瓷冠(镍铬/钴铬合金)千万别选,虽然价格低(580-1000元/颗),但极易导致牙龈着色发炎,还会影响核磁检查,长期使用问题频发。

四、全口种植牙:结构选型比材料更关键
全口缺牙的患者,除了牙冠材料的选择,还要重点关注修复结构,目前主流的两种结构是马龙桥架和连桥冠(一体冠),两者的使用体验和耐用性差异显著。
马龙桥架的优势十分明显:一是修复方便,牙冠为单颗拆分设计,单颗损坏无需整体摘除,维护省时省钱;二是美观度高,修复体带仿真牙龈设计,佩戴后更接近真实口腔状态;三是硬度高,抗折断、抗崩瓷能力强,咬合力与咀嚼效率优异。缺点是价格偏高,全口比连桥冠贵2-4万元。而连桥冠的优势是价格亲民,全口比马龙桥便宜2-4万元,但缺点也特别突出:单颗损坏需整体取下返厂修复,流程繁琐;无仿真牙龈设计,美观稍差;抗折性弱,咬合力与耐用性不如马龙桥。如果经济能力与口腔状况允许,优先选择马龙桥;预算有限可选择连桥冠,但需注意避免咬硬物,减少崩瓷风险。

五、避坑指南:这些牙冠千万别选
在种植牙牙冠的选择中,有两类牙冠是明确不推荐的,长期使用会带来诸多口腔问题,一定要避开。
第一类是树脂牙冠,虽然价格较低(几百元/颗),但易变色、强度差,耐用时间短,带金属内冠的款式还会导致牙龈变色,完全不适合用于种植牙修复;第二类是普通金属铸冠(镍铬/钴铬)和普通金属烤瓷冠,这类牙冠价格极低(金属铸冠300-500元/颗),但极易导致牙龈发炎、红肿,还会影响核磁、CT等医学检查,美观性也极差,临床现在已经特别少使用,患者千万别图便宜选择这类牙冠。

六、高性价比全瓷牙冠品牌怎么挑?
如果确定选择全瓷牙冠,又想兼顾性价比和性能,可从强度、仿真度、真伪可查三个维度来挑选品牌。
比如德国泽康二氧化锆牙冠,强度达900-1200Mpa,强度衰减慢,每颗都可查真伪,价格3500元/颗左右;德国威兰德全瓷牙性价比突出,强度高、颜色自然,同样可查真伪,3500元/颗起;德国阿曼吉尔巴赫牙冠则分卓瓷白色、高端仿生美学系列,能兼顾强度与透度,满足不同美观需求,价格2800元/颗起。这些品牌都是经过临床验证的靠谱选择,既能确保耐用性,又不会让预算压力过大。
总的来说,“哪种种植牙的牙冠好”并没有统一的标准答案,而是要根据自己的修复部位、咬合力需求、预算来精细选型:单颗/前牙修复优先全瓷牙冠,高端需求选瑞典procera、美国3M拉瓦,性价比需求选德国威兰德、阿曼吉尔巴赫;后牙大咬合力区域可选择高硬度全瓷牙冠或贵金属烤瓷冠;全口种植牙经济允许选马龙桥,预算有限选连桥冠。同时一定要避开树脂牙冠、普通金属烤瓷/铸冠这类问题牙冠,选择正规口腔机构和经过认证的牙冠品牌,才能确保种植牙的耐用性和使用体验,让缺牙修复真正达到“以假乱真”的成效,切实提升生活质量。
