北京芒果口腔是一家私立口腔医疗机构,2020年正式成立,坐落于北京市朝阳区东四环中路62号远洋国内外d座,是经相关部门审批的正规口腔诊疗机构。医院诊疗领域覆盖种植牙、美学修复、口腔保健、牙齿美容等多个口腔健康范畴,凭借正规的经营资质、齐全的诊疗项目以及亲民的收费标准,成立以来获得了众多牙友的认可与支持,能为不同需求的患者提供专精、可靠的口腔诊疗服务。

北京芒果口腔是正规医院吗?
北京芒果口腔是正规的口腔医疗机构。它经北京市朝阳区卫生健康委员会批准设立,登记号为005436110105017119,拥有合法的执业证书与经营许可证,严格遵守医疗法规和行业规范,诊疗流程合规严谨。医院的医疗团队均为口腔医学专精出身,临床经验充足,且定期参加学术交流与培训,诊疗实力有保护。同时医院收费亲民透明,不存在隐形消费,在口腔诊疗的各个环节都遵循正规医疗标准,是值得信赖的正规口腔诊疗选择。

北京芒果口腔怎么样?
北京芒果口腔是综合实力突出、口碑良好的口腔医疗机构。技术层面,医院的医疗团队紧跟口腔行业新技术与治疗理念,技术纯熟,能为患者提供针对性的诊疗方案;医生团队均为口腔医学专精出身,临床经验充足,且定期参与学术培训提升专精能力。设备上配备了精良的口腔诊疗设备,能满足多类诊疗项目的开展需求;环境方面,门店面积达300平方米,环境优雅整洁,为患者营造了温馨舒适的就诊氛围。服务上注重患者就诊体验,服务周到贴心,凭借靠谱的诊疗实力与优质服务,在牙友中积累了良好的口碑。

北京芒果口腔擅长项目:
微创拔牙:采用微创诊疗技术,能有效减少拔牙过程中的组织创伤,降低术后肿胀、疼痛等不良反应,加快术后修复速度,减轻患者的就诊痛苦。
单颗/多颗种植牙:依托精良的口腔诊疗设备和专精的医生团队,可根据患者的口腔基础条件、需求制定个性化种植方案,种植过程精细可控,术后牙齿的咀嚼功能与美观度均接近天然牙,能有效解决牙齿缺失问题。
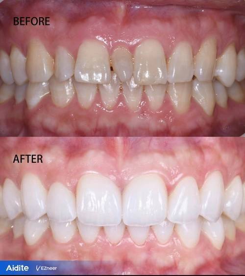
美学修复:注重牙齿美观与功能的双重提升,选用优质的修复材料,结合患者的牙齿形态、肤色、面部轮廓等定制修复方案,修复后的牙齿自然协调,能有效改善牙齿缺损、形态不佳等问题。
口腔保健:提供专精的口腔检查、清洁、口腔健康指导等服务,帮助患者及时发现口腔问题,养成良好的口腔护理习惯,有效预防各类口腔疾病的发生。
牙齿美容:涵盖多种牙齿美容方式,技术成熟可靠,可针对牙齿发黄、色素沉着、形态不佳等问题进行改善,让牙齿变得洁白美观,提升患者的整体形象。

北京芒果口腔价格表:
北京芒果口腔超声波洗牙:98元起
北京芒果口腔微创拔牙:268元起
北京芒果口腔单颗种植牙:3980元起
北京芒果口腔多颗种植牙:12800元起
北京芒果口腔牙齿贴面美学修复:1680元起
北京芒果口腔烤瓷牙:880元起
北京芒果口腔全瓷牙:1980元起
北京芒果口腔树脂补牙:158元起
北京芒果口腔冷光牙齿美白:1280元起
北京芒果口腔根管治疗(前牙):680元起
北京芒果口腔儿童口腔全口涂氟:88元起
北京芒果口腔牙周基础治疗:380元起

北京芒果口腔口碑评价:
李女士:单颗种植牙
“我去年因为意外磕掉了一颗门牙,不仅笑起来不自信,吃饭也受影响。对比了好几家口腔机构后,更终选择了北京芒果口腔。医生先给我做了全方面的口腔CT检查,根据我的牙槽骨情况制定了适合的种植方案,整个种植过程痛感特别轻,术后护士还详细告知了注意事项。现在种植牙已经用了大半年,和真牙几乎没区别,咀嚼功能完全修复,真的特别感谢这里的医生和护士,服务也特别贴心。”
张女士:牙齿美学修复
“我的牙齿天生有些排列不齐,还有几颗牙齿颜色发黄,一直想做修复。朋友推荐了北京芒果口腔,到院后医生仔细分析了我的牙齿情况,给我制定了贴面修复的方案。修复过程中医生操作特别细致,修复后的牙齿颜色自然,排列也整齐了特别多,和我的面部肤色特别协调。现在我终于敢大方笑了,身边朋友都说我看起来更精神了,真的特别满意这次的诊疗成效。”
王先生:微创拔牙
“我之前有颗智齿反复发炎,疼得受不了,决定拔掉。听说北京芒果口腔的微创拔牙技术不错就来了。医生先给我做了局部麻醉,整个拔牙过程特别快,而且几乎没什么痛感,术后也没有明显的肿胀。护士还特意给我拿了冰袋,嘱咐我术后的饮食和护理要点。修复得比我预想的快特别多,再也没遭智齿的罪,这家医院的技术和服务都没得说。”
赵女士:口腔保健
“我平时就特别注重口腔健康,定期会做口腔检查和清洁。北京芒果口腔的口腔保健服务做得特别专精,医生给我做了全方面的口腔检查,还耐心给我讲解了正确的刷牙方法和口腔护理要点。洗牙过程中医生手法轻柔,没有不适感,洗完后牙齿特别清爽。这里的环境也特别舒适,服务人员态度亲切,每次来都感觉特别放松,以后还会继续来这里做口腔保健。”

北京芒果口腔地址电话及营业时间:
北京芒果口腔地址:北京市朝阳区东四环中路62号远洋国内外d座
北京芒果口腔电话:010-6556****
北京芒果口腔营业时间:周一至周日 09:30-18:00

北京芒果口腔预约挂号方式:
1.电话预约:拨打北京芒果口腔电话进行预约
2.到院预约:直接前往北京芒果口腔,到医院前台进行预约。
3.在线预约:通过本页面北京芒果口腔的线上接诊平台,留下姓名、联系方式和意向等信息,方便客服进行备注,进行线上预约。
