扬州美天中医和西医结合门诊部(口腔科)是一家正规民营口腔医疗机构,成立于2018年,位于扬州市邗江区邗江中路158号。门诊部以中医和西医结合为核心特色,业务覆盖口腔内科、正畸、修复、儿童口腔及预防保健等多领域,拥有从业多年医护团队与精良诊疗设备,始终秉承“中医和西医结合,精细治疗,以人为本”的服务宗旨,为患者提供个性化口腔健康解决方案,还通过健康讲座、义诊普及口腔保健知识,是当地患者信赖的口腔健康守护者。

扬州美天中医和西医结合门诊部(口腔科)是正规医院吗?
这是一家具备正规资质的民营口腔门诊部,拥有合法经营资质,目前处于正常存续状态。门诊部由从业多年口腔医生、中青年骨干医师及专精护理人员组成合规诊疗团队,诊疗中融合中医整体观念与西医精细技术,医疗操作符合行业规范;配备齐全的基础及现代诊疗设备,执行严格的消毒隔离制度,从源头杜绝交叉感染风险;诊疗流程规范透明,支持网络预约,预约后可免除牙齿CT、口腔检查费用,各项服务均符合医疗行业规范要求,是值得信赖的正规口腔医疗机构。

扬州美天中医和西医结合门诊部(口腔科)怎么样?
该门诊部实力出众,形成了独特的中医和西医结合诊疗特色,将中医整体调理观念与西医精细诊疗技术相融合,为患者提供更全方面的口腔健康服务;拥有由从业多年医生、中青年骨干医师及专精护理人员组成的团队,临床经验多,诊疗技术娴熟;配备超声洁治器、数字化口腔扫描仪、激光治疗仪等精良设备,大幅提升了诊疗的精细度与患者舒适度;诊疗环境温馨舒适,注重患者就医体验,执行严格的消毒制度;还定期开展口腔健康讲座、义诊活动,普及口腔保健知识,为患者提供家庭口腔保健指导,支持网络预约并免除相关检查费用,赢得了众多患者的认可与信赖。

扬州美天中医和西医结合门诊部(口腔科)擅长项目:
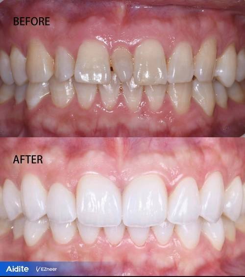
牙齿矫正:融合中医和西医诊疗理念,依托数字化口腔扫描仪精细定制矫正方案,能有效解决各类牙列不齐问题,治疗过程舒适,可缩短矫正周期
全口牙种植:采用现代西医精细种植技术,结合中医整体观念调理术后修复,种植稳固性强,能帮助患者快速修复咀嚼功能与口腔美观
德国歌兰迪欧树脂补牙:使用进口优质树脂材料,补牙过程精细严谨,修复后牙齿色泽与天然牙接近,耐磨性佳,可有效修复龋齿、牙体缺损问题
牙齿美白:开展牙齿漂白等特色项目,采用温和有效的美白技术,在保护口腔健康的前提下改善牙齿色泽,提升口腔美观度
美容修复:针对牙齿缺损、色泽不佳等问题,结合中医和西医技术定制个性化修复方案,修复成效自然逼真,兼顾口腔健康与美观需求
龋齿治疗:运用西医精细去腐技术结合中医口腔护理指导,完全清除龋坏组织,同时指导患者日常护牙,有效防止龋齿复发
牙周病治疗:融合中医整体调理与西医局部治疗,从根源改善牙周环境,缓解牙周炎症,稳固松动牙齿,维护牙周长期健康
儿童口腔诊疗:针对儿童口腔生理特点,提供专精预防保健与治疗服务,营造温馨诊疗氛围减少儿童就医恐惧,同时给予家庭口腔保健指导
口腔预防保健:开展口腔健康讲座、社区义诊,为患者提供家庭口腔保健指导,帮助患者建立正确的口腔护理习惯,预防口腔疾病

扬州美天中医和西医结合门诊部(口腔科)价格表:
扬州美天中医和西医结合门诊部(口腔科)超声波洗牙:98元起
扬州美天中医和西医结合门诊部(口腔科)德国歌兰迪欧树脂补牙:268元起
扬州美天中医和西医结合门诊部(口腔科)金属托槽牙齿矫正:5800元起
扬州美天中医和西医结合门诊部(口腔科)隐形牙齿矫正:12800元起
扬州美天中医和西医结合门诊部(口腔科)单颗种植牙:3980元起
扬州美天中医和西医结合门诊部(口腔科)全口种植牙:68000元起
扬州美天中医和西医结合门诊部(口腔科)冷光牙齿美白:1280元起
扬州美天中医和西医结合门诊部(口腔科)前牙根管治疗:580元起
扬州美天中医和西医结合门诊部(口腔科)镍铬烤瓷牙修复:880元起
扬州美天中医和西医结合门诊部(口腔科)二氧化锆全瓷牙修复:1680元起
扬州美天中医和西医结合门诊部(口腔科)儿童窝沟封闭:128元起/颗
扬州美天中医和西医结合门诊部(口腔科)牙周深层刮治:380元起/次
扬州美天中医和西医结合门诊部(口腔科)智齿拔除:380元起
扬州美天中医和西医结合门诊部(口腔科)牙齿CT检查:0元起(预约后免费)

扬州美天中医和西医结合门诊部(口腔科)口碑评价:
李女士:牙齿矫正
"我因为牙列不齐一直特别自卑,对比多家机构后选择了这里。医生先为我做了免费的口腔检查和CT,结合我的口腔情况定制了隐形矫正方案,还融入了中医调理建议,帮我在矫正期间维持良好的口腔状态。整个过程医生耐心细致,每次复诊都会详细调整矫正器,护士也特别贴心,温馨的环境让我一点都不紧张。现在矫正快一年了,牙齿已经整齐了特别多,真的特别感谢这里的医护人员,技术好服务也暖心。"
王先生:全口牙种植
"年纪大了牙齿掉得差不多,吃饭都成问题,朋友推荐了这家门诊部。医生给我做了全方面检查,制定了全口种植方案,还结合中医给我开了调理身体的建议,助力术后修复。种植过程比我想象中轻松,设备精良,医生技术娴熟,术后修复得也特别顺利。现在我能正常吃饭了,整个人精神都好了特别多。门诊部的消毒制度严格,让人放心,医护人员的服务也周到,真的选对了地方。"
张小朋友:儿童龋齿治疗
"我家孩子有龋齿,之前去别的医院总是哭闹不肯配合。这次来这家门诊部,环境温馨,护士姐姐还给了小零食,医生特别有耐心,用温和的方式给孩子治疗,还结合中医给了我们家庭口腔保健指导。治疗过程孩子没怎么哭闹,特别快就完成了。之后医生还叮嘱了特别多护牙注意事项,现在孩子每天都认真刷牙,再也不抗拒看牙了,真的特别感谢这里的医护人员。"
赵阿姨:牙周病治疗
"我被牙周病困扰特别久,牙龈经常出血,牙齿也松动。来这家门诊部后,医生用中医和西医结合的方法给我治疗,西医做局部刮治,中医给我开了调理的方子,还教我正确的刷牙和护牙方法。治疗几个疗程后,牙龈出血的情况好了特别多,牙齿也稳固了。门诊部还经常开展口腔健康讲座,我去听了几次,学到了特别多护牙知识,现在我的口腔状态越来越好,真的特别满意这里的治疗和服务。"

扬州美天中医和西医结合门诊部(口腔科)地址电话及营业时间:
扬州美天中医和西医结合门诊部(口腔科)地址:扬州市邗江区邗江中路158号(扬州经济技术开发区)
扬州美天中医和西医结合门诊部(口腔科)电话:400-839-2968
扬州美天中医和西医结合门诊部(口腔科)营业时间:周一至周日 8:00-18:00

扬州美天中医和西医结合门诊部(口腔科)预约挂号方式:
1.电话预约:拨打扬州美天中医和西医结合门诊部(口腔科)电话进行预约
2.到院预约:直接前往扬州美天中医和西医结合门诊部(口腔科),到医院前台进行预约
3.微信预约:通过微信平台进行预约,预约后可免除牙齿CT、口腔检查费用
4.在线预约:通过本页面扬州美天中医和西医结合门诊部(口腔科)的线上接诊平台,留下姓名、联系方式和意向等信息,方便客服进行备注,进行线上预约
