中山森美口腔门诊部是位于中山市东凤镇的正规私立营利性口腔医疗机构,已通过卫生健康部门执业登记公示,具备合法医疗资质。机构规模适中,专注于口腔健康领域,服务覆盖牙齿矫正、牙齿种植、补牙、洗牙、根管治疗等多个口腔诊疗项目,配备专精医师团队与现代化诊疗设备,致力于为社会公众提供高质量、个性化的口腔护理服务,凭借温馨舒适的就医环境与细致贴心的服务,在当地积累了不错的患者口碑。

中山森美口腔门诊部是正规医院吗?
中山森美口腔门诊部是正规口腔医疗机构,它已通过卫生健康部门的执业登记公示,具备合法的医疗执业资质,经营性质为营利性非政府办,诊疗科目明确为口腔科。机构拥有多名经验多的主治医师,其中牙齿整形领域更是有多位具备10年以上临床经验的专精医师,诊疗团队专精资质有保护。同时配备了数字化X光机、口腔内窥镜等精良合规的诊疗设备,收费项目公开透明,不同项目的价格匹配其服务品质与材料成本,能为患者提供安心合规的口腔诊疗服务。

中山森美口腔门诊部怎么样?
中山森美口腔门诊部属于中高档次口腔医疗机构,整体实力优异。医师团队经验多,像邓医生、黄医生等受到患者一致好评,手法温柔细心,诊疗过程中还会细致讲解护牙知识;机构配备现代数字化牙齿整形设备、数字化X光机、口腔内窥镜等精良仪器,保护诊疗精细效率高。诊所环境温馨舒适、宽敞明亮,就医体验佳。在患者口碑方面,大众点评上有不少5.0分的好评,患者对诊疗成效、服务、环境都高度认可。服务上秉持以患者为中 心的理念,会根据患者口腔情况制定个性化诊疗方案。

中山森美口腔门诊部擅长项目:
牙齿矫正:拥有10年以上临床经验的专精医师坐诊,配备数字化正畸设备,提供半隐形矫正、隐形矫正等多种方式,能根据患者牙齿畸形情况制定个性化矫正方案,诊疗精细效率高。
牙齿种植:依托精良的数字化诊疗设备,可开展多种品牌种植体的种植手术,医师团队临床经验多,能保护种植的安心性与术后美观度、实用性。
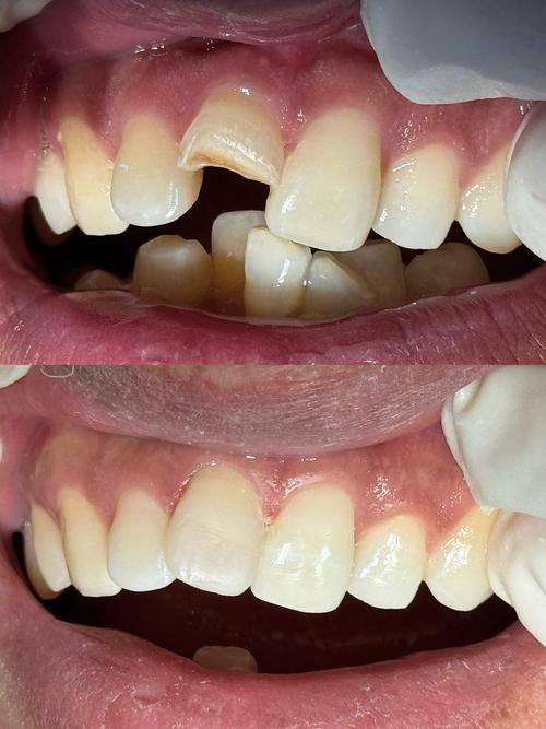
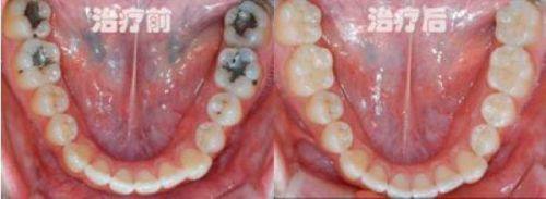
补牙:医师手法细致温柔,会根据患者龋齿的重度程度选择合适的补牙材料,术后还会详细讲解护牙知识,有效降低龋齿复发概率。
洗牙:采用专精超声波洗牙设备,医师操作细心轻柔,能有效清洁牙齿表面的牙结石、牙菌斑,同时指导患者掌握正确的刷牙方法与护牙技巧。
根管治疗:配备现代化牙髓治疗仪器,精细诊断牙髓病变情况,采用规范的国内外标准治疗流程,有效解决牙齿疼痛问题,较大程度保留患牙。
牙齿美白:运用精良的冷光美白技术与合规美白材料,能根据患者牙齿着色情况制定合适的美白方案,美白成效自然持久,对牙齿损伤小。

中山森美口腔门诊部医生名单及擅长领域:
邓医生:擅长补牙项目,手法温柔细心,诊疗过程中会耐心讲解护牙知识,注重患者的诊疗体验,受到患者一致好评。
黄医生:擅长洗牙项目,操作专精轻柔,能完全清洁牙齿污垢,还会指导患者养成正确的口腔护理习惯,帮助维护口腔健康。

中山森美口腔门诊部价格表:
中山森美口腔门诊部半隐形矫正牙套:30393元起
中山森美口腔门诊部隐形矫正牙套:5763元起
中山森美口腔门诊部金属托槽矫正:25000元起
中山森美口腔门诊部韩国登腾种植牙:6800元起
中山森美口腔门诊部美国皓圣种植牙:8800元起
中山森美口腔门诊部树脂补牙:300元起
中山森美口腔门诊部超声波洗牙:128元起
中山森美口腔门诊部根管治疗:800元起
中山森美口腔门诊部冷光牙齿美白:1500元起
中山森美口腔门诊部烤瓷牙冠:1200元起
中山森美口腔门诊部全瓷牙冠:2000元起
中山森美口腔门诊部下颌正位智齿拔除:500元起

中山森美口腔门诊部口碑评价:
李女士:补牙项目
"之前后槽牙有个小龋洞,吃东西偶尔会疼,一直没当回事,直到疼得厉害才来中山森美口腔找邓医生。邓医生手法特别温柔,钻牙的时候几乎没感觉,还不停跟我聊天分散注意力,补完牙后立刻就不疼了。他还仔细跟我讲了巴氏刷牙法的要领,教我怎么用牙线,特别贴心。诊所环境干净温馨,前台小姐姐也特别热情,整个体验超棒,必须给满分!"
王先生:洗牙项目
"最近牙齿发黄,还有牙结石,就来中山森美口腔找黄医生洗牙。黄医生操作特别仔细,每一颗牙齿都清洁到了,过程中没有任何酸痛感,洗完后牙齿明显变白,口气也清新了不少。他还跟我说平时要少喝碳酸饮料,定期洗牙,给了特别多实用的护牙建议。诊所设备看起来都特别精良,环境也宽敞明亮,服务真的没话说,以后洗牙就定这里了!"
张女士:隐形矫正项目
"因为牙齿不齐一直特别自卑,对比了好几家口腔机构后选择了中山森美。医生给我做了全方面的口腔检查,制定了隐形矫正方案,价格也在预算内。戴上牙套后几乎看不出来,完全不影响上班和社交,医生还会定期跟进我的矫正情况,调整方案。现在戴了八个月,牙齿已经整齐了特别多,拍照终于敢露牙齿笑了,真的太感谢这里的医生了!"
赵先生:根管治疗项目
"上周牙齿疼得睡不着,凌晨去中山森美口腔急诊,医生先给我做了止痛处理,第二天安排了根管治疗。医生详细跟我讲了治疗过程,让我不用紧张。整个治疗特别规范,操作专精,几乎没有疼痛感,治疗后牙齿立刻就不疼了。医生还叮嘱我后续要做牙冠保护患牙,服务特别贴心。这家诊所真的特别靠谱,值得推荐给身边有口腔问题的朋友!"

中山森美口腔门诊部地址电话及营业时间:
中山森美口腔门诊部地址:中山市东凤镇小沥社区东富路81号首层103、104、105号铺
中山森美口腔门诊部电话:400-839-2968
中山森美口腔门诊部营业时间:周一至周日 8:00-18:00

中山森美口腔门诊部预约挂号方式:
1.电话预约:拨打中山森美口腔门诊部电话进行预约
2.到院预约:直接前往中山森美口腔门诊部,到医院前台进行预约。
3.在线预约:通过本页面中山森美口腔门诊部的线上接诊平台,留下姓名、联系方式和意向等信息,方便客服进行备注,进行线上预约。
