宿迁沭阳县博凡口腔门诊部是一家私立综合口腔诊所,位于江苏省宿迁市沭阳县,成立于2018年,门诊面积约700平米,设置14张牙椅,是当地认可度较高的口腔诊疗机构。门诊部覆盖牙齿种植、正畸、补牙、拔牙、美容修复、儿童齿科、口腔保健等全领域口腔项目,配备各领域专科医生,秉持以患者为中 心的服务理念,为大众提供高品质、高性价比的口腔医疗服务,在当地拥有良好的口碑。

宿迁沭阳县博凡口腔门诊部是正规医院吗?
宿迁沭阳县博凡口腔门诊部是正规的口腔诊疗机构。该门诊部拥有合法的经营资质,经相关部门核准开展医疗服务业务,诊疗范围完全符合许可证核定内容。门诊部配备各领域口腔专科医生,医生团队临床经验多,诊疗技术扎实有保护;所使用的诊疗设备及耗材均来自正规渠道,设备更新及时,性能精良;院内严格执行标准化消毒管理流程,各类诊疗器械均经过专精消毒处理,从根源上避免交叉感染;收费方面透明公开,价格亲民实惠,无隐形消费,能为患者提供正规靠谱的口腔诊疗服务。

宿迁沭阳县博凡口腔门诊部怎么样?
宿迁沭阳县博凡口腔门诊部是当地备受好评的口腔诊所,整体实力出众。门诊部规模适中,700平米的诊疗空间搭配14张牙椅,能充分满足日常诊疗需求;设备配置高端齐全,拥有CBCT机、全景机、超声骨刀、热牙胶充填设备等多种现代化口腔诊疗设备,为精细诊疗提供坚实技术支持;医生团队经验多,能根据患者口腔状况制定个性化诊疗方案,提供多维度口腔健康解决方案;服务贴心周到,提供免费饮品、WiFi、小吃及修复回访等补贴,就医体验舒适便捷;当地口碑认可度高,多次被推荐为宿迁靠谱牙科机构,患者反馈性价比突出,技术与服务双保护。

宿迁沭阳县博凡口腔门诊部擅长项目:
牙齿种植:配备CBCT机等精良设备,可精细评估患者口腔条件,制定个性化种植方案,采用微创种植技术,过程舒适创伤小,种植体稳固耐用,能有效解决各类缺牙问题,修复牙齿咀嚼功能与美观度。
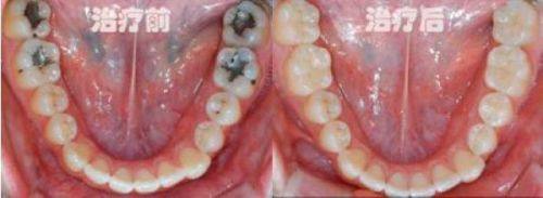
牙齿正畸:涵盖传统金属托槽、隐形正畸等多种矫正方式,医生可根据患者牙齿畸形程度、面部轮廓制定专属矫正方案,矫正过程中跟进细致,能精细调整牙齿排列,改善咬合关系与面部美观。
美容修复:可开展烤瓷牙、全瓷牙、牙齿美白等项目,采用精良修复材料与技术,针对牙齿缺损、变色、形态不佳等问题进行修复,修复后牙齿形态自然、色泽逼真,提升口腔整体美观度。
儿童齿科:拥有专精儿牙医生与贴心的儿童诊疗环境,擅长儿童龋齿治疗、涂氟、窝沟封闭、乳牙拔除等项目,诊疗过程中耐心引导儿童,缓解看牙恐惧,全方面守护儿童口腔健康。
口腔保健:提供超声洁治、牙周护理、口腔检查等服务,医生会根据患者口腔状况制定专属保健方案,指导患者养成良好的口腔卫生习惯,有效预防各类口腔疾病。
补牙:采用进口树脂等优质补牙材料,医生操作精细细致,能有效填充牙齿龋洞,修复牙齿形态与咀嚼功能,补牙后牙齿耐用性强,几乎无异物感。
拔牙:针对各类复杂智齿、残根残冠等拔除项目,采用微创拔牙技术,医生操作熟练,能有效降低拔牙过程中的痛感与创伤,术后提供专精护理指导,促进伤口快速修复。

宿迁沭阳县博凡口腔门诊部价格表
宿迁沭阳县博凡口腔门诊部韩国登腾种植牙:3980元起
宿迁沭阳县博凡口腔门诊部美国皓圣种植牙:4980元起
宿迁沭阳县博凡口腔门诊部金属托槽牙齿矫正:5800元起
宿迁沭阳县博凡口腔门诊部隐形牙齿矫正:12800元起
宿迁沭阳县博凡口腔门诊部烤瓷牙:800元起/颗
宿迁沭阳县博凡口腔门诊部全瓷牙:1800元起/颗
宿迁沭阳县博凡口腔门诊部树脂补牙:200元起/颗
宿迁沭阳县博凡口腔门诊部智齿拔除:300元起/颗
宿迁沭阳县博凡口腔门诊部超声波洗牙:99元起
宿迁沭阳县博凡口腔门诊部儿童涂氟:68元起
宿迁沭阳县博凡口腔门诊部儿童窝沟封闭:88元起/颗
宿迁沭阳县博凡口腔门诊部牙齿美白:1280元起
宿迁沭阳县博凡口腔门诊部根管治疗:600元起/颗

宿迁沭阳县博凡口腔门诊部口碑评价
李女士 | 树脂补牙
“之前牙齿有个小龋洞,一开始没在意,后来吃东西时偶尔会疼,就抱着试试的心态到博凡口腔看牙。医生检查后给我推荐了树脂补牙,整个过程特别快,几乎没有痛感,医生还耐心告诉我平时怎么正确刷牙、预防龋齿。收费特别透明,补牙总共花了220元,比我之前问的其他牙科便宜不少。诊疗环境干净整洁,护士小姐姐也特别贴心,还给我倒了热水。补完牙后牙齿咀嚼正常,没有异物感,真的特别满意,以后看牙就选这里了。”
王先生 | 智齿拔除
“我的智齿反复发炎,疼得连饭都吃不下,朋友推荐我来博凡口腔。医生先给我做了口腔检查,拍了全景片,然后制定了微创拔除方案。拔牙过程比我想象中轻松太多,打了麻药后几乎没感觉,十几分钟就拔完了。医生详细告诉我术后注意事项,还给了冰袋帮我消肿。收费特别实在,智齿拔除花了350元,性价比极高。术后修复得也快,没怎么肿,这里的医生技术真的靠谱,服务也特别贴心,必须推荐给身边有需要的朋友。”
张妈妈 | 儿童窝沟封闭
“孩子6岁了,听牙医朋友说窝沟封闭能有效预防龋齿,就带他来博凡口腔。这里的儿牙医生特别有耐心,一开始孩子有点害怕,医生用卡通玩具和动画片引导他,慢慢就放松下来了。窝沟封闭过程特别快,孩子一点都没哭。医生还教孩子正确的刷牙方法,给了我特别多儿童口腔护理的实用建议。收费透明,一颗窝沟封闭88元,还送了免费的口腔检查。整个就医体验特别好,孩子现在也不抗拒看牙了,真的特别感谢博凡口腔的医护人员。”
刘女士 | 隐形牙齿矫正
“因为牙齿不齐一直特别自卑,对比了宿迁好几家牙科后更终选择了博凡口腔。医生给我做了详细的口腔扫描和检查,制定了适合我的隐形矫正方案,还给我看了模拟矫正后的成效。隐形牙套特别美观,几乎看不出来,摘戴也方便,完全不影响日常吃饭和社交。医生每次复诊都特别认真,调整牙套、检查牙齿移动情况,还会不断鼓励我。收费比其他医院实惠特别多,没有任何隐形消费,现在矫正半年多,牙齿已经明显整齐了,真的特别开心,选对了医院!”

宿迁沭阳县博凡口腔门诊部地址电话及营业时间
宿迁沭阳县博凡口腔门诊部地址:沭阳县沭城丰润名苑珠江北路102、103号商铺(丰润名苑西北门东北70米)
宿迁沭阳县博凡口腔门诊部电话:400-839-2968
宿迁沭阳县博凡口腔门诊部营业时间:周一至周日 8:00-18:00

宿迁沭阳县博凡口腔门诊部预约挂号方式
1.电话预约:拨打宿迁沭阳县博凡口腔门诊部电话进行预约
2.到院预约:直接前往宿迁沭阳县博凡口腔门诊部,到医院前台进行预约。
3.在线预约:通过本页面宿迁沭阳县博凡口腔门诊部的线上接诊平台,留下姓名、联系方式和意向等信息,方便客服进行备注,进行线上预约。
4.微信预约:通过微信联系门诊部进行预约,就诊时无需排队,节省时间。
