坪洲欧芽口腔门诊部(现名深圳欧雅口腔门诊部)是一家正规民营口腔医疗机构,隶属于深圳欧雅口腔齿科连锁品牌,2020年成立,为医疗保险定点单位。门诊部位于深圳市宝安区西乡街道,紧邻坪洲地铁站B出口并配备专属停车场,交通便利。门诊规模达600多平米,分三层布局,诊疗环境干净舒适;科室设置齐全,可开展种植牙、美学修复、牙齿矫正等多种口腔项目,其中牙齿矫正为特色诊疗项目,拥有专精医疗团队与现代化设备,为患者提供优质口腔服务。

坪洲欧芽口腔门诊部是正规医院吗?
坪洲欧芽口腔门诊部是正规口腔医院。它是经深圳市卫生健康局批准设立的医疗机构,同时也是医疗保险定点单位,隶属于在国内多城市布局的深圳欧雅口腔齿科连锁品牌,品牌实力雄厚。门诊部配备了现代化的口腔医疗设备,为诊疗质量提供坚实保护;拥有专精的医疗团队,诊疗流程规范严谨,能为患者提供专精、安心的口腔诊疗服务。作为正规医疗保险定点机构,患者就诊时还可享受医疗保险报销相关政策,进一步保护自身就医权益。

坪洲欧芽口腔门诊部怎么样?
坪洲欧芽口腔门诊部整体表现出色,依托欧雅齿科连锁的品牌背景,在口腔诊疗领域积累了丰富经验。门诊环境舒适干净,600多平米的三层空间布局合理,就诊体验良好;交通十分便利,紧邻坪洲地铁站B出口,还设有专属停车场,无论是公共交通还是自驾都特别便捷。诊疗项目齐全,尤其是牙齿矫正作为特色项目,可开展传统金属矫正、隐形矫正等多种方式,满足不同患者的需求。门诊部配备现代化医疗设备,医疗团队专精贴心,还提供多种预约方式,就诊效率高便捷。

坪洲欧芽口腔门诊部擅长项目:
牙齿矫正:作为门诊核心特色项目,可开展传统金属托槽矫正、隐形矫正等多种矫正方式,专精医疗团队会根据患者牙齿畸形情况、美观需求及预算制定个性化矫正方案,过程规范,能有效改善牙齿排列问题。
种植牙:配备精良的口腔诊疗设备,由专精医师操作,针对单颗、多颗及全口缺牙患者提供种植牙服务,帮助患者修复牙齿的咀嚼功能与面部美观度,诊疗过程注重患者舒适度。
洗牙:采用专精洁牙设备,可有效清除牙齿表面的牙结石、牙菌斑及色素沉着,预防牙周疾病,维护口腔健康,操作过程轻柔舒适,不会对牙齿造成损伤。
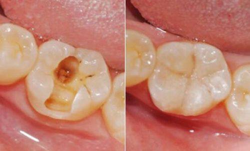
补牙:选用优质的补牙材料,针对龋齿、牙齿缺损等问题进行修复,修复牙齿的正常形态与咀嚼功能,材料颜色与天然牙齿接近,美观度高。
拔牙:由经验多的医师操作,针对智齿、残根残冠、松动牙等进行拔除,操作规范,尽可能减轻患者的痛感与不适感,术后会给予专精的护理指导。
牙齿检查:提供全方面的口腔检查服务,包括口腔黏膜、牙齿、牙周等多部位检查,及时发现潜在口腔问题,并给出专精的诊疗与预防建议。
美学修复:针对牙齿变色、缺损、形态不佳等问题,采用全瓷冠、贴面等方式进行美学修复,提升牙齿的美观度,让患者拥有自信笑容。

坪洲欧芽口腔门诊部价格表:
坪洲欧芽口腔超声波洗牙:98元起
坪洲欧芽口腔树脂补牙:198元起
坪洲欧芽口腔普通智齿拔除:398元起
坪洲欧芽口腔复杂智齿拔除:1280元起
坪洲欧芽口腔传统金属托槽矫正:6800元起
坪洲欧芽口腔国产隐形矫正:15800元起
坪洲欧芽口腔进口隐形矫正:26800元起
坪洲欧芽口腔韩国进口种植牙:4980元起/颗
坪洲欧芽口腔美国进口种植牙:8980元起/颗
坪洲欧芽口腔前牙根管治疗:880元起
坪洲欧芽口腔后牙根管治疗:1580元起
坪洲欧芽口腔冷光牙齿美白:1280元起
坪洲欧芽口腔儿童涂氟:68元起
坪洲欧芽口腔儿童窝沟封闭:128元起/颗
坪洲欧芽口腔全瓷牙冠:2680元起/颗

坪洲欧芽口腔门诊部口碑评价:
李女士:隐形矫正
"我因为牙齿排列不齐一直不敢大笑,对比了几家口腔机构后选择了坪洲欧芽。医生给我做了详细的口腔检查,制定了适合我的隐形矫正方案,牙套轻薄透明,戴上后几乎没人能看出来,完全不影响日常工作和社交。每次复诊医生都特别耐心,会仔细调整牙套,还会提醒我注意口腔清洁的细节。现在戴了10个月,牙齿已经明显整齐了,真的特别开心,医院环境干净,交通也方便,推荐给有矫正需求的朋友。"
张先生:单颗种植牙
"之前因为外伤缺了一颗门牙,不仅影响美观,吃饭也受影响,在朋友推荐下来到坪洲欧芽。医生先给我做了全方面的口腔CT检查,制定了种植牙方案,手术过程特别顺利,几乎没有痛感,术后修复得也特别快。现在种植牙已经用了半年多,和真牙一样好用,外观也特别自然,完全看不出来是假牙。医院的设备特别精良,医生技术专精,服务态度也良好,真的选对了地方。"
王女士:洗牙+浅龋补牙
"最近感觉牙齿有点发黄,还有点敏感,就来坪洲欧芽做检查。医生说我有几颗浅龋,还有牙结石,建议先洗牙再补牙。洗牙的时候医生手法特别轻柔,一点都不酸,洗完牙齿瞬间清爽了特别多。补牙用的材料颜色和真牙几乎一样,补完后完全看不出来,整个过程医护人员都特别贴心,环境也干净整洁,以后看牙就认准这里了。"
刘小朋友:窝沟封闭+涂氟
"我家孩子6岁了,医生说要做窝沟封闭和涂氟预防蛀牙,就带他来坪洲欧芽。这里的护士姐姐特别有耐心,先陪孩子玩了一会儿积木,消除了他的紧张感。做窝沟封闭和涂氟的时候,医生手法特别轻,孩子全程都没哭闹,做完后还奖励了他一个小恐龙贴纸。医院有专门的儿童玩耍区,环境特别温馨,孩子现在一点都不害怕看牙了,真的特别感谢这里的医护人员。"

坪洲欧芽口腔门诊部地址电话及营业时间:
坪洲欧芽口腔门诊部地址:深圳市宝安区西乡街道麻布社区麻布海城路变电站1层2层3层
坪洲欧芽口腔门诊部电话:400-839-2968
坪洲欧芽口腔门诊部营业时间:周一至周日 8:00-18:00

坪洲欧芽口腔门诊部预约挂号方式:
1.电话预约:拨打坪洲欧芽口腔门诊部电话进行预约
2.到院预约:直接前往坪洲欧芽口腔门诊部,到医院前台进行预约。
3.在线预约:通过本页面坪洲欧芽口腔门诊部的线上接诊平台,留下姓名、联系方式和意向等信息,方便客服进行备注,进行线上预约。
