潜江市姚治豹口腔诊所是一家私立正规口腔诊所,由原油田总医院副主医师姚治豹于2014年创办,是当地老牌口腔诊疗机构,在当地拥有较好口碑。诊所位于湖北省潜江市广华办事处广南二路环保分局旁,营业面积81平方米,设有3个牙椅,现有员工4人,包含专精口腔医生和护士团队,可开展洗牙、补牙、拔牙、牙齿矫正、种植牙等各类口腔诊疗项目,致力于为患者提供高质量、安心的口腔健康服务。

潜江市姚治豹口腔诊所是正规医院吗?
潜江市姚治豹口腔诊所是正规的口腔诊疗机构,具备合法的经营资质,法定代表人为原油田总医院副主医师姚治豹,诊疗资质齐全。诊所拥有专精的口腔医生和护士团队,医护人员均具备相关执业资格,能够为患者提供规范的口腔诊疗服务。此外,诊所配备了齐全的医疗设备及高温高压消毒设备,严格遵循口腔诊疗消毒规范,诊疗所使用的耗材及设备均符合相关标准,经营过程中始终坚持以患者为中 心,保护诊疗的安心性与专精性。

潜江市姚治豹口腔诊所怎么样?
潜江市姚治豹口腔诊所实力出众,诊疗水平专精可靠。创办者姚治豹拥有丰富的临床经验,带领专精医护团队为患者服务。诊所配备了CBCT机、全景机、iTero口内扫描仪、热牙胶充填设备等精良口腔诊疗设备,遵循国内外诊疗标准,能够为患者提供精细的诊断与有效治疗。诊所重视个性化治疗方案制定,会根据患者具体情况量身定制适合的治疗计划;同时注重患者就医体验,打造了舒适温馨的就诊环境,服务贴心周到,在当地积累了较好的口碑。

潜江市姚治豹口腔诊所擅长项目:
洗牙:采用超声洁治器开展诊疗,配合高温高压消毒设备,在效率高清洁牙结石、牙菌斑的同时,保护诊疗过程的卫生安心,还会为患者提供口腔护理指导。
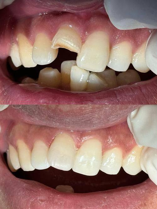
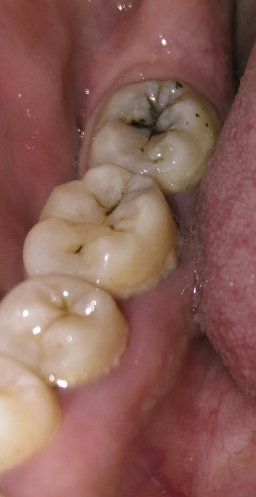
补牙:运用热牙胶充填设备进行充填操作,填充材料与牙齿贴合紧密,耐用性强,能够有效修复牙齿的形态与咀嚼功能,针对不同龋坏情况制定个性化补牙方案。
拔牙:由专精医生操作,结合全景机精细定位牙齿位置,操作规范轻柔,尽可能减少患者不适感,术后会提供详细的护理指导,助力创口快速修复。
牙齿矫正:配备iTero口内扫描仪,可快速精细获取口腔数据,为患者定制个性化矫正方案,涵盖金属托槽矫正、隐形矫正等多种矫正方式,满足不同患者的需求。
种植牙:借助CBCT机辅助术前诊断与定位,精细植入种植体,有效保护种植的成功几率与稳定性,能够为缺牙患者修复自然的咀嚼功能与牙齿外观。
根管治疗:使用牙髓测量仪精细定位牙髓位置,结合热牙胶充填设备完成根管充填,能够有效解决牙髓炎、根尖周炎等问题,保留患牙。
牙齿美白:采用专精美白设备及材料,在不损伤牙釉质的前提下,改善牙齿发黄、发黑等问题,提升牙齿美观度。
儿童口腔诊疗:针对儿童口腔特点提供贴心诊疗服务,包含全口涂氟、窝沟封闭等项目,帮助儿童预防龋齿,培养良好的口腔卫生习惯。
牙周治疗:运用超声洁治器开展牙周刮治等诊疗,有效清除牙周袋内的牙结石与菌斑,改善牙周炎症,维护牙周健康。
口腔全方面检查:通过CBCT机、全景机等设备为患者进行全方面口腔检查,精细发现口腔问题,为后续诊疗提供科学依据。

潜江市姚治豹口腔诊所医生名单及擅长领域:
姚治豹:原油田总医院副主医师,临床经验多,擅长洗牙、补牙、拔牙、牙齿矫正、种植牙等各类口腔诊疗项目,注重根据患者实际情况制定个性化治疗方案,诊疗技术专精可靠。

潜江市姚治豹口腔诊所价格表:
潜江市姚治豹口腔诊所 超声波洗牙:98元起
潜江市姚治豹口腔诊所 树脂补牙:198元起
潜江市姚治豹口腔诊所 普通拔牙:158元起
潜江市姚治豹口腔诊所 复杂拔牙:580元起
潜江市姚治豹口腔诊所 金属托槽矫正:6800元起
潜江市姚治豹口腔诊所 隐形矫正:12800元起
潜江市姚治豹口腔诊所 韩国进口种植牙:4800元起
潜江市姚治豹口腔诊所 美国进口种植牙:8800元起
潜江市姚治豹口腔诊所 根管治疗:580元起
潜江市姚治豹口腔诊所 牙齿美白:1280元起
潜江市姚治豹口腔诊所 儿童全口涂氟:128元起
潜江市姚治豹口腔诊所 牙周刮治:380元起
潜江市姚治豹口腔诊所 口腔全景片检查:88元起

潜江市姚治豹口腔诊所口碑评价:
李女士+超声波洗牙
“之前一直怕洗牙会酸痛,抱着试试的心态来了姚治豹口腔诊所。医生先仔细检查了我的口腔情况,操作时动作特别轻柔,用的设备感觉特别专精,整个过程几乎没有不舒服的感觉。诊所环境特别温馨,护士小姐姐也特别贴心,洗完牙后还耐心给我讲了日常正确刷牙的方法和注意事项,体验感特别好,以后洗牙就固定这里了。”
张先生+种植牙
“缺了一颗大牙,吃饭特别不方便,朋友推荐了姚治豹口腔诊所。姚医生给我做了详细的口腔检查,用CBCT机精细定位后制定了种植方案,手术过程特别顺利,没什么痛感。现在种植牙已经用了好几个月,和真牙几乎没区别,吃饭香多了。诊所的服务也特别周到,每次复查都提前提醒,真的特别满意这次的治疗。”
王同学+金属托槽矫正
“因为牙齿不齐一直特别自卑,来到姚治豹口腔诊所后,姚医生根据我的牙齿情况制定了专属矫正计划,用iTero口内扫描仪取模,特别快就拿到了方案。矫正期间每次复诊,医生都会仔细调整托槽,还会鼓励我,护士也会提醒我注意口腔卫生。现在牙齿已经整齐了特别多,整个人自信了不少,诊所的环境也特别舒适,不会有紧张感。”
刘阿姨+树脂补牙
“牙齿有个洞疼得厉害,儿子带我来姚治豹口腔诊所。姚医生检查后说需要补牙,操作的时候特别细心,用的材料填充后牙齿没有异物感,也不疼了。医生还告诉我平时要少吃甜食,注意口腔清洁,服务特别贴心。诊所的消毒工作做得特别到位,我在治疗的时候特别放心,现在吃饭正常了,真的特别感谢姚医生和医护人员。”

潜江市姚治豹口腔诊所地址电话及营业时间:
潜江市姚治豹口腔诊所地址:湖北省潜江市广华办事处广南二路环保分局旁
潜江市姚治豹口腔诊所电话:400-839-2968
潜江市姚治豹口腔诊所营业时间:周一至周日 8:00-18:00

潜江市姚治豹口腔诊所预约挂号方式:
1.电话预约:拨打潜江市姚治豹口腔诊所电话进行预约
2.到院预约:直接前往潜江市姚治豹口腔诊所,到医院前台进行预约。
3.在线预约:通过本页面潜江市姚治豹口腔诊所的线上接诊平台,留下姓名、联系方式和意向等信息,方便客服进行备注,进行线上预约。
