湖南株洲醴陵明固口腔是醴陵地区经营近30年的老牌正规口腔门诊,位于湖南省株洲市醴陵市来龙门街道办事处姜湾新街131号。门诊虽面积不大,但属于当地口碑机构,多次跻身醴陵牙科排名榜单,尤其受老醴陵人认可。其诊疗领域覆盖口腔护理、牙齿矫正、牙齿种植、牙周病治疗、牙体缺损修复等多个方面,拥有专精医疗团队与现代化诊疗设备,致力于为患者提供高质量口腔医疗服务。

湖南株洲醴陵明固口腔是正规医院吗?
湖南株洲醴陵明固口腔是正规口腔医疗机构。作为经营近30年的老牌门诊,它在当地拥有稳定的口碑与广泛认可度;医生团队经验充足,多位医师曾参与省级口腔修复技术培训,具备扎实的专精资质;配备数字化X光机、口腔内窥镜、激光治疗仪等现代化正规诊疗设备,诊疗流程规范严谨;收费标准透明合理,会根据患者实际诊疗需求制定清晰的收费方案;同时秉持规范的消毒与诊疗标准,能为患者提供安心可靠的口腔医疗服务。

湖南株洲醴陵明固口腔怎么样?
明固口腔在当地口碑优良,综合实力出众。技术上以修复技术为核心特色,在牙体缺损修复、牙列缺失重建等领域表现突出,美学修复配备智能化比色系统,可精细匹配天然牙色泽,修复体边缘密合度高,还可联合省级医师开展即刻种植、全口种植修复;医生团队经验多、技术娴熟,能根据患者个体口腔情况制定专属治疗方案;设备方面配备数字化X光机、口腔内窥镜、激光治疗仪等现代化设备,诊断与治疗精细度高;就诊环境温馨舒适,服务周到细致,注重与患者的沟通交流,能有效缓解患者就诊压力,多年来凭借稳固技术和优质服务获得众多患者的信赖与好评。

湖南株洲醴陵明固口腔擅长项目:
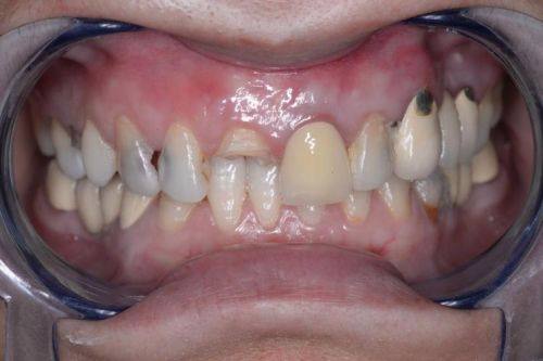
牙体缺损修复:以成熟修复技术为核心,修复体边缘密合度高,能有效修复牙齿形态与功能,美学成效自然逼真。
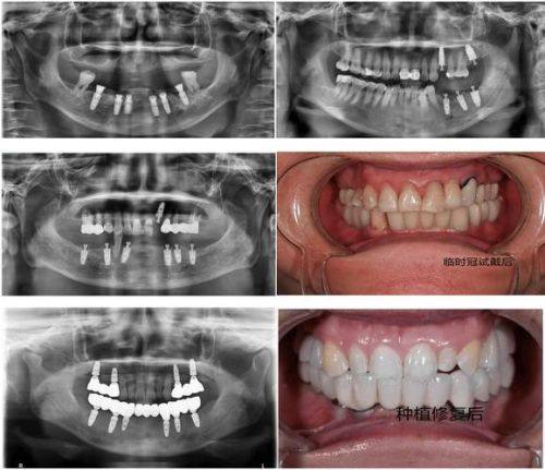
牙列缺失重建:可联合省级医师开展诊疗,根据患者牙列缺失情况制定专属重建方案,有效修复口腔咀嚼功能与面部美观度。
美学修复(全瓷冠、嵌体、贴面):配备智能化比色系统,精细匹配天然牙色泽,修复后牙齿形态自然,满足患者的口腔美学需求。
即刻种植、全口种植修复:联合省级医师开展诊疗,治疗过程重视细节,个性化制定种植方案,种植后牙齿稳固性好,修复速度快。
牙齿矫正:可针对不同类型的牙列不齐问题制定个性化矫正方案,借助专精设备辅助诊疗,矫正过程规范,更终成效理想。
根管治疗:运用口腔内窥镜等设备精细定位病灶,治疗过程规范,能有效解决牙髓炎、根尖周炎等口腔问题,较大程度保留患牙。
牙周病治疗:采用专精诊疗技术与设备,可有效控制牙周炎症,改善牙周健康状况,维护口腔整体健康。

湖南株洲醴陵明固口腔价格表
湖南株洲醴陵明固口腔超声波洗牙:98元起
湖南株洲醴陵明固口腔树脂补牙:198元起
湖南株洲醴陵明固口腔根管治疗(前牙):398元起
湖南株洲醴陵明固口腔根管治疗(后牙):698元起
湖南株洲醴陵明固口腔全瓷贴面:1280元起
湖南株洲醴陵明固口腔全瓷冠:1580元起
湖南株洲醴陵明固口腔金属托槽矫正:5800元起
湖南株洲醴陵明固口腔隐形矫正:12800元起
湖南株洲醴陵明固口腔即刻种植牙:6800元起
湖南株洲醴陵明固口腔全口种植牙:58000元起
湖南株洲醴陵明固口腔牙周基础治疗:298元起
湖南株洲醴陵明固口腔上颌正位智齿拔除:298元起

湖南株洲醴陵明固口腔口碑评价
李阿姨-全口种植修复
“我缺牙好多年了,吃饭一直不方便,在老邻居的推荐下来到了明固口腔。医生特别有耐心,给我详细讲解了全口种植的方案,还联合了省级医师一起诊疗,整个治疗过程比我想象中轻松特别多。现在种植完已经三个多月了,牙齿用着特别稳固,终于能正常吃硬菜了,这里的护士也特别贴心,每次复诊都会提前提醒,真的特别让人暖心。”
张小姐-全瓷贴面美学修复
“我的牙齿有点发黄,还有轻微的牙缝,一直想做美学修复。对比了几家门诊后选择了明固口腔,医生用智能化比色系统给我选了和天然牙几乎一模一样的颜色。做完贴面后,牙齿变得整齐又洁白,笑起来自信多了,而且修复体边缘特别贴合,完全看不出假的痕迹,收费也特别透明,没有隐形消费,整个体验感特别好。”
王先生-金属托槽矫正
“我牙齿不齐特别多年了,一直不好意思矫正,后来听说明固口腔的医生矫正经验多就来了。医生给我制定了详细的矫正方案,每次复诊都特别认真,会及时调整托槽,还会叮嘱我日常的口腔护理注意事项。矫正到现在快一年了,牙齿已经明显整齐了特别多,这里的环境也特别舒适,护士小姐姐态度良好,每次来都特别放松,真的选对了地方。”
刘先生-根管治疗
“前段时间牙齿疼得厉害,晚上都睡不着,赶紧来到明固口腔检查,说是牙髓炎需要做根管治疗。医生用口腔内窥镜给我看了病灶,治疗过程特别规范,几乎没什么痛感。做完后牙齿就不疼了,现在修复得良好。这里的收费特别透明,治疗前就把价格说得清清楚楚,没有乱收费的情况,医生和护士都特别专精,让人特别放心。”

湖南株洲醴陵明固口腔地址电话及营业时间
湖南株洲醴陵明固口腔地址:湖南省株洲市醴陵市来龙门街道办事处姜湾新街131号
湖南株洲醴陵明固口腔电话:400-839-2968
湖南株洲醴陵明固口腔营业时间:周一至周日 8:00-18:00

湖南株洲醴陵明固口腔预约挂号方式
1.电话预约:拨打湖南株洲醴陵明固口腔电话进行预约
2.到院预约:直接前往湖南株洲醴陵明固口腔,到医院前台进行预约。
3.在线预约:通过本页面湖南株洲醴陵明固口腔的线上接诊平台,留下姓名、联系方式和意向等信息,方便客服进行备注,进行线上预约。
