广东珠海美笑然口腔诊所是一家专精正规的口腔医疗机构,成立于2021年,位于广东省珠海市香洲区翠峰路211号商铺。诊所环境优雅、交通便利,配备多个手术室及精良诊疗设备,拥有经验多的医师团队,致力于为患者提供高质量的口腔健康服务。诊疗范围涵盖牙齿美白、种植牙、正畸、牙齿修复、牙周病治疗等多个领域,以患者为中 心,定制个性化治疗方案,满足不同患者的口腔健康需求。

广东珠海美笑然口腔诊所是正规医院吗?
广东珠海美笑然口腔诊所是正规的口腔医疗机构。它拥有合法的经营资质,已完成相关备案变更手续,具备完备的医疗服务能力。诊所配备了经验多的口腔医生团队,诊疗过程中会为患者定制个性化方案,专精度有保护;同时引进韩国登腾种植体等正规医疗耗材,采用精良的数字化X光机、全景影像设备等开展诊疗,确保治疗的安心性与有效性。诊所收费公开透明,各项项目价格会根据治疗类型和复杂程度明确告知患者,患者可放心就诊。

广东珠海美笑然口腔诊所怎么样?
广东珠海美笑然口腔诊所整体诊疗实力出色,技术上重点引进韩国登腾种植体技术,能以舒适、微创的方式为患者解决缺牙问题;医生团队经验多,诊疗时会耐心解答患者疑虑,量身定制专属治疗方案。诊所配备了数字化X光机、全景影像设备、效率高洁牙仪器等精良诊疗设备,确保诊疗正确效率高。环境方面优雅舒适,交通便利,秉持以患者为中 心的服务理念,注重患者的舒适体验,提供温馨专精的医疗服务,支持多渠道预约,能有效节省患者就诊时间,患者满意度较高。

广东珠海美笑然口腔诊所擅长项目:
种植牙:重点引进韩国登腾种植体技术,采用舒适、微创的治疗方式,医生会根据患者口腔基础情况定制个性化种植牙方案,诊疗过程耐心专精,能有效解决缺牙问题。
牙齿美白:依托精良的效率高洁牙仪器等设备,为患者提供正确效率高的牙齿美白服务,可改善外源性染色导致的牙齿发黄问题,提升口腔美观度。
牙齿正畸:可开展金属托槽正畸、隐形正畸等多种正畸项目,结合数字化设备精细评估患者牙齿情况,定制专属正畸方案,有效改善牙齿排列不齐问题。
牙齿修复:涵盖烤瓷牙、全瓷牙等多种修复项目,针对牙齿缺损、牙体损伤等问题,由经验多的医生操作,结合精良技术确保修复成效自然贴合。
牙周病治疗:拥有专精诊疗设备和医师团队,可开展牙周洁治、刮治等项目,针对牙龈出血、肿痛等牙周问题制定规范治疗方案,改善牙周健康状况。
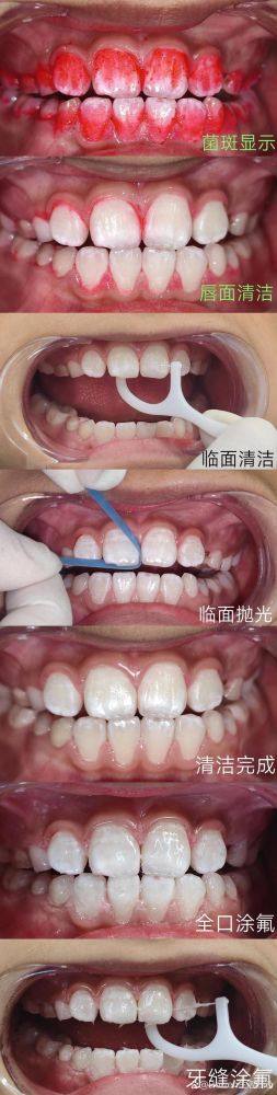
超声波洁牙:采用效率高洁牙仪器,能有效清除牙齿表面的牙结石、牙菌斑,预防牙周疾病,维护口腔健康。
根管治疗:针对牙髓炎、根尖周炎等牙髓疾病,由专精医生操作,借助精良设备精细诊疗,有效缓解牙齿疼痛,保留天然牙体。

广东珠海美笑然口腔诊所价格表:
广东珠海美笑然口腔诊所超声波洁牙:98元起
广东珠海美笑然口腔诊所牙齿冷光美白:1280元起
广东珠海美笑然口腔诊所韩国登腾种植牙:3980元起/颗
广东珠海美笑然口腔诊所金属托槽正畸:6800元起
广东珠海美笑然口腔诊所隐形正畸:15800元起
广东珠海美笑然口腔诊所树脂补牙:268元起/颗
广东珠海美笑然口腔诊所烤瓷牙修复:1200元起/颗
广东珠海美笑然口腔诊所全瓷牙修复:2500元起/颗
广东珠海美笑然口腔诊所牙周基础治疗:380元起
广东珠海美笑然口腔诊所根管治疗:880元起/颗
广东珠海美笑然口腔诊所儿童窝沟封闭:128元起/颗
广东珠海美笑然口腔诊所儿童全口涂氟:168元起

广东珠海美笑然口腔诊所口碑评价:
李女士 种植牙
"我因为后槽牙缺失影响吃饭,对比了好几家口腔机构后来到美笑然。医生先给我做了全景影像检查,详细讲解了韩国登腾种植体的优势,采用微创方式手术,整个过程没怎么疼,医生还一直跟我聊天缓解紧张。术后修复得特别快,现在已经能正常啃排骨了,真的特别满意,医生的技术和服务都没得说,身边有缺牙的朋友我已经推荐过来了。"
张先生 牙齿美白
"长期喝咖啡导致牙齿发黄,一直想做美白但怕刺激牙齿。来到美笑然诊所,环境特别舒适,医生先给我做了口腔评估,确认适合冷光美白后才开始治疗,用的仪器特别精良,过程没有不适感。做完后牙齿明显变白了好几个度,成效特别自然,医生还叮嘱了我特别多术后注意事项,比如一周内不要喝咖啡、茶,服务特别贴心,体验感特别棒。"
王女士 牙齿正畸
"因为牙齿不齐一直特别自卑,不敢大笑,来美笑然询问正畸。医生特别耐心地给我讲解了金属托槽和隐形正畸的区别,结合我的预算和牙齿情况推荐了金属托槽正畸。治疗过程中医生每次复诊都会仔细检查我的牙齿移动情况,调整弓丝力度,现在戴了半年多,牙齿已经明显整齐了特别多,真的特别感谢医生的专精和负责。"
刘先生 牙周病治疗
"最近牙龈经常出血,还肿痛,连吃饭都受影响,来到美笑然看诊。医生给我做了详细的牙周检查,说我是中度牙周炎,制定了洁治加刮治的治疗方案,用精良的设备操作,过程没有想象中疼。治疗后牙龈出血的情况特别快就缓解了,医生还教了我正确的巴氏刷牙法和使用牙线的技巧,现在牙周状况稳定了特别多,诊所的服务也特别温馨,值得信赖。"

广东珠海美笑然口腔诊所地址电话及营业时间:
广东珠海美笑然口腔诊所地址:广东省珠海市香洲区翠峰路211号商铺
广东珠海美笑然口腔诊所电话:400-839-2968
广东珠海美笑然口腔诊所营业时间:周一至周日 8:00-18:00

广东珠海美笑然口腔诊所预约挂号方式:
1.电话预约:拨打广东珠海美笑然口腔诊所电话进行预约
2.到院预约:直接前往广东珠海美笑然口腔诊所,到医院前台进行预约。
3.在线预约:通过本页面广东珠海美笑然口腔诊所的线上接诊平台,留下姓名、联系方式和意向等信息,方便客服进行备注,进行线上预约。
