云南昆明晋宁为尔好口腔是一家营利性私人口腔门诊部,属于正规专精口腔医疗机构,位于昆明市晋宁区昆阳大街98号,地理位置优越交通便利。机构配备8台牙椅及数字化X光机、口腔内窥镜等现代化设备,诊疗科目覆盖口腔科全领域,提供牙齿矫正、种植牙、牙齿美白、根管治疗、儿童口腔等多种服务,拥有高素质专精医护团队,以患者为中 心,致力于为不同年龄段、不同需求的患者提供精细、高质量的口腔诊疗服务。

云南昆明晋宁为尔好口腔是正规医院吗?
云南昆明晋宁为尔好口腔是正规的口腔医疗机构。该机构成立于2024年1月26日,拥有3项行政许可,经营完全合规,具备合法的口腔诊疗资质。在医护团队建设上,对医师招聘要求严格,需具备规范的口腔治疗技术、执业资质,同时要有耐心细致的服务意识与良好的职业道德。机构配备数字化X光机、口腔内窥镜等现代化合规医疗设备,确保诊疗过程精细安心。收费方面,采用透明合理的方式,适配不同消费需求人群,初诊时会提供详细报价,不存在隐形消费,能切实保护患者的就医权益。

云南昆明晋宁为尔好口腔怎么样?
云南昆明晋宁为尔好口腔整体实力出众,是晋宁地区值得选择的口腔诊疗机构。技术上,拥有专精医护团队,结合数字化X光机、激光治疗仪等精良设备,能为患者提供精细的诊断与规范治疗;医生均经过严格筛选,具备扎实的专精技术与良好的沟通能力,院长杨老师临床经验多。环境上,院内优雅宽敞,设有多个诊室、治疗室与休息区,充分兼顾患者隐私与就医舒适度。服务上,秉承以患者为中 心的理念,医护人员态度亲和,能提供人性化关怀;患者口碑良好,多数人认可其服务态度与就医环境,收费透明合理,可满足不同年龄段、不同需求的口腔诊疗需求。

云南昆明晋宁为尔好口腔擅长项目:
牙齿矫正:拥有专精正畸团队,结合数字化设备精细评估牙列情况,提供金属托槽矫正、隐形矫正等多种方案,注重美观与功能兼顾,治疗过程舒适,能有效改善牙列不齐、咬合异常等问题。
种植牙:采用精良种植技术,配备数字化设备辅助定位,选用合规种植体,由经验多的医师操作,种植过程微创精细,术后修复快,能有效修复牙齿咀嚼功能与美观度。
牙齿美白:运用激光治疗仪等现代化设备,结合安心美白药剂,根据患者牙齿着色情况定制个性化美白方案,美白成效自然持久,对牙齿损伤小。
根管治疗:借助口腔内窥镜、数字化X光机精细定位病灶,由专精医师操作,能完全清除根管内感染物质,有效缓解牙痛,保留天然牙齿,治疗过程规范舒适。
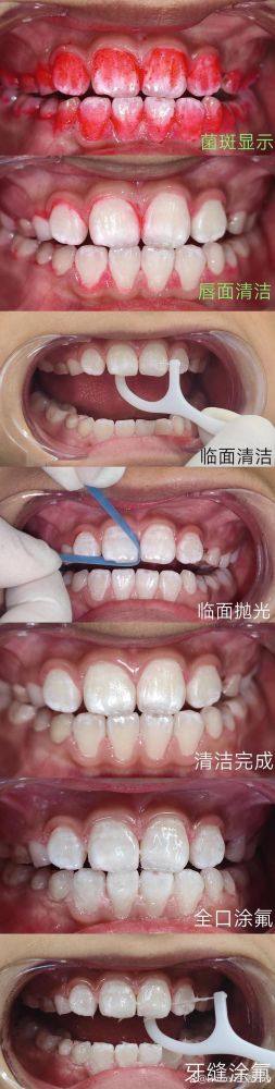
儿童口腔诊疗:针对儿童口腔特点,配备适合儿童的诊疗设备与环境,医护人员耐心细致,提供涂氟、窝沟封闭、儿童补牙等服务,帮助儿童养成良好口腔习惯,守护口腔健康。
牙齿美容:涵盖牙齿贴面、烤瓷牙等项目,采用数字化设计定制修复体,修复后牙齿形态自然美观,与天然牙适配度高,能有效改善牙齿缺损、变色等问题。

云南昆明晋宁为尔好口腔医生名单及擅长领域:
杨老师(院长):拥有丰富口腔临床诊疗经验,擅长口腔全科诊疗,尤其在种植牙、牙齿矫正等项目上造诣深厚,具备良好的沟通能力与团队管理能力,注重患者需求,能为患者定制个性化诊疗方案。

云南昆明晋宁为尔好口腔价格表:
云南昆明晋宁为尔好口腔超声波洗牙:98元起
云南昆明晋宁为尔好口腔儿童涂氟:68元起
云南昆明晋宁为尔好口腔儿童窝沟封闭:128元起/颗
云南昆明晋宁为尔好口腔树脂补牙:198元起/颗
云南昆明晋宁为尔好口腔根管治疗:598元起/颗
云南昆明晋宁为尔好口腔金属托槽矫正:6800元起
云南昆明晋宁为尔好口腔隐形矫正:15800元起
云南昆明晋宁为尔好口腔国产种植牙:2680元起/颗
云南昆明晋宁为尔好口腔韩国进口种植牙:3980元起/颗
云南昆明晋宁为尔好口腔激光牙齿美白:1280元起
云南昆明晋宁为尔好口腔烤瓷牙:880元起/颗
云南昆明晋宁为尔好口腔牙齿贴面:1680元起/颗
云南昆明晋宁为尔好口腔智齿拔除:380元起/颗

云南昆明晋宁为尔好口腔口碑评价:
李女士·牙齿矫正
"我因为牙列不齐一直特别自卑,朋友推荐来晋宁为尔好口腔做矫正。第一次来就感觉环境特别舒适,医生和护士态度都特别好,杨院长仔细给我检查了牙齿情况,定制了隐形矫正方案,还耐心解答了我所有疑问。矫正过程中每次复诊都特别贴心,会提醒注意事项,现在戴了快一年,牙齿已经整齐特别多了,真的特别满意,收费也透明,没有隐形消费,推荐给有矫正需求的朋友!"
张先生·种植牙
"之前因为意外缺了一颗牙,吃饭特别不方便,对比了几家后来到为尔好口腔。这里的设备特别精良,拍了数字化X光片后,医生给我制定了韩国进口种植牙方案,手术过程微创,几乎没什么痛感,术后修复得也特别快。现在种植牙已经用了大半年,和真牙差不多,咀嚼功能完全修复了,收费也合理,服务态度更是没话说,真的选对了地方!"
王小朋友·儿童口腔涂氟
"我家孩子平时不爱刷牙,担心他长蛀牙,就带他来为尔好口腔做涂氟。本来以为孩子会哭闹,没想到这里的护士姐姐特别有耐心,还拿玩具哄他,医生操作也特别轻柔,孩子全程都特别配合。涂氟结束后,医生还教了我们正确的儿童刷牙方法,环境也特别适合小朋友,有专门的休息区,孩子现在一点都不害怕看牙医了,真的特别感谢这里的医护人员!"
刘女士·牙齿美白
"我因为经常喝咖啡,牙齿变得黄黄的,试过特别多美白牙膏都没用,就来为尔好口腔试试专精美白。医生先给我检查了牙齿情况,定制了激光美白方案,整个过程大概一个小时,没有不适感。做完后牙齿明显变白了,而且特别自然,不是那种假白。收费透明,医生还叮嘱了我后期的注意事项,比如少喝咖啡茶,定期复查,服务真的特别周到,我对成效特别满意!"

云南昆明晋宁为尔好口腔地址电话及营业时间:
云南昆明晋宁为尔好口腔地址:云南省昆明市晋宁区昆阳大街98号
云南昆明晋宁为尔好口腔电话:400-839-2968
云南昆明晋宁为尔好口腔营业时间:周一至周日 8:00-18:00

云南昆明晋宁为尔好口腔预约挂号方式:
1.电话预约:拨打云南昆明晋宁为尔好口腔电话进行预约
2.到院预约:直接前往云南昆明晋宁为尔好口腔,到医院前台进行预约。
3.在线预约:通过本页面云南昆明晋宁为尔好口腔的线上接诊平台,留下姓名、联系方式和意向等信息,方便客服进行备注,进行线上预约。
