佛山黄国标口腔是一家成立于2005年的私立口腔诊所,位于佛山市顺德区容桂振华路66号,是经正规审批成立的口腔诊疗机构,具备合法经营资质。诊所专注于口腔全科诊疗服务,涵盖基础牙科治疗、牙周病防治、牙齿矫正、种植修复等多个领域,在容桂地区拥有一定的品牌有名度,凭借规范的诊疗和优质服务获得当地患者认可。

佛山黄国标口腔是正规医院吗?
佛山黄国标口腔是正规的口腔诊疗机构。它成立于2005年,拥有12个相关行政许可,目前处于正常开业状态,具备合法的经营资质,法定代表人/经营者为黄国标。诊所配备经验多的医疗团队,诊疗流程规范严谨,比如在种植牙项目中,术前会为患者进行全方面的口腔检查与评估,从源头上保护诊疗的安心性;同时诊所重视诊疗细节,术后有专人跟进患者修复情况,整体诊疗符合口腔医疗规范标准,能为患者提供有保护的口腔诊疗服务。

佛山黄国标口腔怎么样?
佛山黄国标口腔在容桂地区口碑良好,是当地有名的口腔品牌。诊所配备精良的诊疗设备,拥有技术娴熟、经验多的医疗团队,医生在诊疗过程中重视与患者的沟通交流,会耐心解答患者疑问,还注重患者教育,帮助患者树立正确的口腔健康观念。诊所地处容桂繁华地段,交通便利,环境优雅,诊疗环境舒适;服务方面细致周到,比如种植牙术后会有专人回访跟进修复情况,整体诊疗体验较好,凭借优质的服务和可靠的诊疗成效获得了患者的信赖。

佛山黄国标口腔擅长项目:
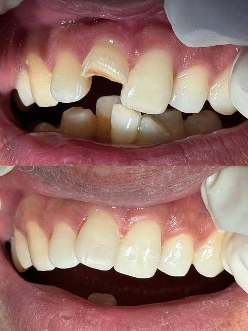
基础牙科治疗:可提供常规的口腔基础诊疗服务,满足患者日常口腔健康维护需求,诊疗流程规范细致,注重患者的舒适体验。
牙周病防治:针对各类牙周疾病提供专精诊疗方案,医生会根据患者牙周情况制定个性化防治计划,帮助患者改善牙周健康状态。
牙齿矫正:可开展牙齿矫正诊疗服务,能针对不同牙齿畸形情况给予正规专科支持与建议,帮助患者改善牙齿排列与咬合问题。
种植修复(种植牙):作为诊所特色优势项目,术前会为患者进行全方面口腔检查与评估,保护手术安心性和成功几率;手术操作精细,术后还有专人回访,跟进患者修复情况,能有效解决牙齿缺失问题。

佛山黄国标口腔价格表
佛山黄国标口腔超声波洗牙:98元起
佛山黄国标口腔树脂补牙:198元起
佛山黄国标口腔普通拔牙:158元起
佛山黄国标口腔根管治疗(前牙):398元起
佛山黄国标口腔牙齿美白(冷光美白):1280元起
佛山黄国标口腔烤瓷牙冠:880元起
佛山黄国标口腔全瓷牙冠:1680元起
佛山黄国标口腔金属托槽牙齿矫正:6800元起
佛山黄国标口腔隐形牙齿矫正:18800元起
佛山黄国标口腔韩系种植牙:5800元起
佛山黄国标口腔国产种植牙:3980元起

佛山黄国标口腔口碑评价
陈女士 种植牙
“我去年因为蛀牙重度拔掉了一颗后牙,吃饭一直受影响,在邻居的推荐下来到了黄国标口腔。医生先给我做了全方面的口腔CT检查,详细分析了我的牙槽骨情况,给我制定了适合的种植牙方案,还耐心解答了我所有的疑问,让我紧张的心情放松了不少。手术过程特别顺利,医生操作特别轻柔,术后也没有特别强烈的痛感。之后还有护士小姐姐定期打电话回访,提醒我注意饮食和口腔清洁,现在种植牙已经完全适应了,和真牙一样好用,真的特别满意这次的诊疗体验。”
李先生 牙周病防治
“我被牙周炎困扰了好几年,牙龈经常出血,牙齿还有松动的迹象,试过不少方法都没改善。后来到黄国标口腔看诊,医生仔细检查了我的牙周情况,给我制定了系统的治疗方案,包括洗牙、龈下刮治等项目。每次治疗医生都特别细致,还教了我正确的刷牙和用牙线的方法。经过几个疗程的治疗,我的牙龈出血情况完全消失了,牙齿也稳固了特别多,现在我还会定期来做口腔维护,医生和护士的服务都特别贴心,值得推荐。”
张小姐 牙齿矫正
“因为牙齿不齐,我一直特别自卑,大学毕业后来到黄国标口腔做牙齿矫正。医生根据我的牙齿情况推荐了金属托槽矫正方案,还详细给我讲解了矫正的周期和注意事项。矫正过程中,医生每次复诊都特别认真,调整托槽的时候动作特别轻,还会关注我的牙齿变化情况。现在矫正快一年了,牙齿已经整齐了特别多,身边朋友都夸我变化大,真的特别感谢这里的医生,技术好又有耐心。”
王先生 基础牙科治疗
“我平时不怎么注意口腔卫生,最近牙齿疼得厉害,来到黄国标口腔看诊,医生检查后发现是龋齿,需要补牙。治疗过程中医生特别细心,会提前告诉我接下来的步骤,让我不会紧张。补牙的材料质感良好,和真牙差不多,补完之后牙齿就不疼了。诊所的环境也特别干净舒适,前台护士的服务也特别热情,价格也特别透明,没有隐形消费,这次体验让我对口腔诊疗不再害怕,以后还会来这里做口腔维护。”

佛山黄国标口腔地址电话及营业时间
佛山黄国标口腔地址:佛山市顺德区容桂振华路66号
佛山黄国标口腔电话:400-839-2968
佛山黄国标口腔营业时间:周一至周日 8:00-18:00

佛山黄国标口腔预约挂号方式
1.电话预约:拨打佛山黄国标口腔电话进行预约
2.到院预约:直接前往佛山黄国标口腔,到医院前台进行预约。
3.在线预约:通过本页面佛山黄国标口腔的线上接诊平台,留下姓名、联系方式和意向等信息,方便客服进行备注,进行线上预约。
