西吉县雅康口腔门诊部是专注于口腔健康的正规医疗机构,坐落于宁夏回族自治区固原市西吉县,占地面积约200平方米,为单层现代化门诊,环境整洁舒适。门诊拥有专精合规的医疗团队,配备数字化X光机、牙科治疗椅、激光治疗仪等精良设备,可开展从常规口腔护理到复杂种植手术的全品类口腔诊疗服务,致力于为患者提供高品质、个性化的诊疗服务。

西吉县雅康口腔门诊部是正规医院吗?
西吉县雅康口腔门诊部是正规的口腔医疗机构,所有医护人员均具备合规执业资质,临床经验多,且定期组织参与学术培训与交流,持续升级医疗技术水平。门诊选用奥齿泰种植体、拉瓦、威兰德、爱尔创等正规品牌医疗耗材,收费透明合理,支持刷卡支付且可协助患者管理医疗费用,严格按照口腔诊疗行业规范开展服务,无违规外聘坐诊医生,所有诊疗流程均符合医疗安心标准,为患者提供可靠的口腔诊疗保护。

西吉县雅康口腔门诊部怎么样?
西吉县雅康口腔门诊部凭借专精技术、舒适环境与贴心服务获得患者信赖。门诊在种植牙、牙齿矫正、儿童牙科等领域优势突出,拥有经验多的专科医生团队;配备现代化诊疗设备,可提供精细安心的治疗;设有专属儿牙中 心、专用停车场,到店即可享受免费口腔检查并获赠口腔护理用品。门诊全年无休营业,支持提前预约以减少患者等待时间,术后还会安排复查保护治疗成效,秉承以患者为中 心的服务理念,切实提升患者就医体验。

西吉县雅康口腔门诊部擅长项目:
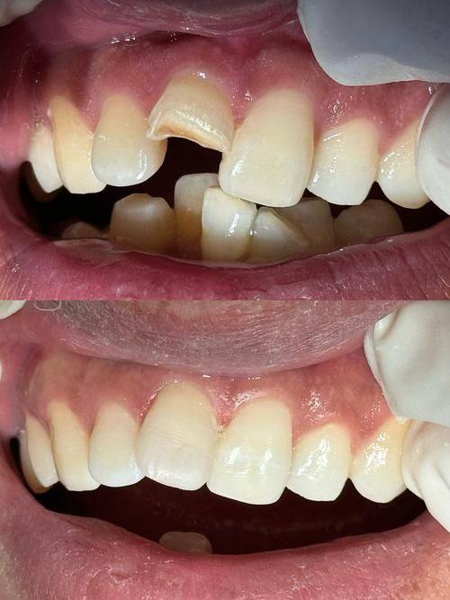
种植牙:主推奥齿泰种植体,可开展all-on4、穿颧穿翼等高难度种植手术,复杂手术通常40分钟左右即可完成
牙齿矫正:提供时代天使、隐适美隐形矫正服务,可根据患者情况定制个性化矫正方案
儿童牙科:开设专属儿牙中 心,为2岁半以上儿童提供口腔诊疗服务,采用MRC早期干预品牌开展口腔畸形预防与早期矫正
牙冠修复:可提供拉瓦、威兰德、爱尔创等品牌牙冠修复服务,针对牙齿缺失、缺损、变色等问题定制美观耐用的修复方案
牙齿洁牙:常规口腔洁护与预防保健服务
补牙、拔牙:常规牙体修复与口腔外科诊疗服务
牙齿美白:专精牙齿美白诊疗服务
根管治疗:针对牙髓病变的规范诊疗服务
口腔检查:免费到店口腔健康检查服务

西吉县雅康口腔门诊部医生名单及擅长领域:
买院长:擅长种植牙领域,可开展all-on4、穿颧穿翼等高难度种植手术,临床经验多
王雪锦医生:擅长牙齿矫正,可根据患者情况定制个性化隐形矫正方案,帮助达成理想矫正成效

西吉县雅康口腔门诊部价格表:
西吉县雅康口腔门诊部奥齿泰单颗种植牙:5000元起
西吉县雅康口腔门诊部时代天使隐形矫正:15000元起
西吉县雅康口腔门诊部隐适美隐形矫正:价格详询
西吉县雅康口腔门诊部拉瓦牙冠修复:3000元起
西吉县雅康口腔门诊部威兰德牙冠修复:2000元起
西吉县雅康口腔门诊部爱尔创牙冠修复:1500元起
西吉县雅康口腔门诊部牙齿洁牙:100元起
西吉县雅康口腔门诊部补牙:200元起
西吉县雅康口腔门诊部拔牙:300元起
西吉县雅康口腔门诊部牙齿美白:800元起
西吉县雅康口腔门诊部儿童早期干预矫正:2000元起
西吉县雅康口腔门诊部根管治疗:500元起

西吉县雅康口腔门诊部口碑评价:
李女士 牙齿矫正
“我去年在雅康口腔做了时代天使隐形矫正,医生王雪锦特别有耐心,先给我做了全方面的口腔检查,定制了专属的矫正方案。整个治疗过程没有明显不适,现在牙齿整齐了特别多,医院环境整洁舒适,还有专用停车场,预约后不用长时间等待,到店还送了牙刷牙线,整体体验非常好。”
张先生 种植牙
“我因为意外掉落了一颗门牙,找买院长做了奥齿泰种植牙,手术只花了40分钟左右就完成了,术后修复特别顺利,现在吃东西都没问题了。院长的技术真的特别专精,术后还主动询问我的修复情况,医院的医护人员都特别贴心,值得推荐。”
王妈妈 儿童牙科
“我家孩子3岁,之前特别害怕看牙医,雅康有专属的儿牙中 心,医生特别会哄孩子,还布置了童趣的诊疗环境,用MRC早期干预帮孩子调整咬合。孩子这次一点都不害怕,做完检查还拿到了小礼品,现在我们定期带孩子来做口腔护理,特别放心。”
刘先生 洁牙补牙
“第一次来雅康口腔,到店就做了免费的口腔检查,发现有两颗蛀牙,医生帮我补了牙,还教了我正确的刷牙方法。洁牙的时候医生特别温柔,没有酸痛感,结束后还给了我牙刷牙线的护理套装,收费也特别透明,没有隐形消费,下次还会来。”

西吉县雅康口腔门诊部地址电话及营业时间:
西吉县雅康口腔门诊部地址:宁夏回族自治区固原市西吉县幸福路西吉人家
西吉县雅康口腔门诊部电话:400-839-2968
西吉县雅康口腔门诊部营业时间:周一至周日 9:00-18:00

西吉县雅康口腔门诊部预约挂号方式:
1.电话预约:拨打西吉县雅康口腔门诊部电话进行预约
2.到院预约:直接前往西吉县雅康口腔门诊部,到医院前台进行预约。
3.在线预约:通过本页面西吉县雅康口腔门诊部的线上接诊平台,留下姓名、联系方式和意向等信息,方便客服进行备注,进行线上预约。
