四川成都青羊牙多乐口腔连锁是经成都市青羊区行政审批局批准设立的私立连锁口腔医疗机构,具备正规执业资质,登记号为MA7MR26L251010519D1522,诊疗科目涵盖口腔科,经营范围包含诊所服务、健康询问(不含诊疗服务)等。该机构专注口腔健康领域,可覆盖多类口腔诊疗服务,致力于为患者提供高质量的口腔护理,地处成都市青羊区,交通便捷,方便周边患者就医。

四川成都青羊牙多乐口腔连锁是正规医院吗?
四川成都青羊牙多乐口腔连锁是正规的口腔医疗机构,首先其具备法定审批的正规资质,登记号为MA7MR26L251010519D1522,诊疗科目符合医疗规范。医院拥有稳定的从业多年口腔医师团队,骨干医生医术实力强,严格遵循口腔诊疗行业标准开展服务。收费方面价格透明合理,公开的项目定价亲民,无隐形消费,同时配备精良的口腔诊疗设备,能够为患者提供精细的诊断与效率高的治疗,整体运营符合正规医疗机构的管理要求。

四川成都青羊牙多乐口腔连锁怎么样?
四川成都青羊牙多乐口腔连锁整体口碑优异,自开业以来凭借专精团队、齐全设备、舒适就医环境与优质服务收获大量患者好评。医院配备数字化X光机、全景影像设备、激光治疗仪等精良设备,能够保护诊疗的精细性与效率高性;医师团队经验多,可根据患者情况制定个性化治疗方案,兼顾治疗成效与患者体验。医院秉承以患者为中 心的服务理念,注重患者的舒适感受与心理需求,不少患者治疗后对成效和服务满意,并主动推荐给亲友。

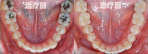
四川成都青羊牙多乐口腔连锁擅长项目:
口腔内科:可开展口腔常见病、口腔黏膜病、牙周病的诊断与治疗,诊疗经验多。
口腔外科:擅长智齿拔除、根尖周围病变手术等外科诊疗操作,技术娴熟。
正畸项目:可开展牙齿矫正、隐形矫正等正畸服务,满足不同患者的美观需求。
修复种植:可开展牙齿修复、牙齿种植服务,尤其擅长国产CDIC种植牙技术。
儿童口腔诊疗:提供专精的儿童口腔检查、治疗与防护服务,呵护儿童口腔健康。
牙齿美白:可开展冷光美白、皓齿美白等牙齿美白项目,改善牙齿色泽。
牙齿洁治:提供专精的洗牙清洁服务,维护口腔卫生环境。
根管治疗:可开展牙髓及根尖周疾病的根管治疗,保留患牙。
烤瓷牙修复:提供烤瓷牙安装服务,修复缺损牙齿。
全瓷牙修复:提供全瓷牙安装服务,美观度与实用性兼备。
瓷贴面修复:可开展瓷贴面项目,改善牙齿外观与色泽。

四川成都青羊牙多乐口腔连锁医生名单及擅长领域:
庞聪:作为医院骨干医师,医术实力强,紧跟口腔医学行业全新发展动态,可熟练开展多类口腔诊疗项目。
张清源:作为医院学科带头人之一,临床经验多,擅长口腔修复、种植及正畸相关诊疗服务。

四川成都青羊牙多乐口腔连锁价格表:
四川成都青羊牙多乐口腔连锁 国产CDIC种植牙:3000元起
四川成都青羊牙多乐口腔连锁 烤瓷牙:800元起
四川成都青羊牙多乐口腔连锁 全瓷牙:1500元起
四川成都青羊牙多乐口腔连锁 瓷贴面:3000元起
四川成都青羊牙多乐口腔连锁 冷光美白:999元起
四川成都青羊牙多乐口腔连锁 皓齿美白:1200元起
四川成都青羊牙多乐口腔连锁 普通洗牙(牙齿洁治):120元起
四川成都青羊牙多乐口腔连锁 根管治疗:800元起
四川成都青羊牙多乐口腔连锁 普通拔牙:150元起
四川成都青羊牙多乐口腔连锁 儿童口腔涂氟:99元起
四川成都青羊牙多乐口腔连锁 隐形牙齿矫正:15000元起
四川成都青羊牙多乐口腔连锁 智齿拔除:300元起

四川成都青羊牙多乐口腔连锁口碑评价:
李女士&冷光美白
“我之前因为常年喝咖啡牙齿发黄,平时都不敢大笑,怕被别人笑话。朋友推荐了这家牙多乐口腔,抱着试试的心态过来了。到院后医生先给我做了详细的口腔检查,确认没有口腔问题后安排了冷光美白项目,操作过程特别轻柔,没有出现牙齿酸痛的情况,全程大概一小时左右就完成了。做完之后牙齿明显白了好几个度,医护人员还特意交代了术后24小时内不要吃深色食物的注意事项,整个体验非常舒服,现在终于能自信地露齿笑了,强烈推荐给有美白需求的朋友。”
张先生&智齿拔除
“我的智齿反复发炎疼了好几天,实在受不了就来这家口腔医院。接诊的庞医生特别耐心,先帮我检查了智齿的生长情况,然后安排了拔除手术,手术时打了麻药完全没有痛感,术后医生还特意打电话跟进我的修复情况,交代了饮食和护理的注意事项,修复得比预期快特别多,医院的环境也特别安静舒适,让我没有紧张感,真的特别不错。”
赵女士&隐形矫正
“我一直想矫正牙齿,但传统钢牙太影响美观,了解到这家的隐形矫正特别适合我。张清源医生根据我的牙齿情况定制了专属的隐形牙套,每次复诊都特别顺利,医生会根据我的进度调整牙套的力度,现在佩戴了半年左右,牙齿已经有明显的变化了,价格也特别透明,没有隐形消费,医护人员的服务态度都良好,解答了我特别多关于矫正的疑问。”
陈阿姨&全瓷牙修复
“我之前门牙不小心摔缺了一块,吃饭和说话都特别不方便,后来朋友介绍来这家医院。张医生帮我做了全瓷牙修复,整个过程特别顺利,没有痛苦,做出来的全瓷牙和真牙颜色几乎一模一样,外观非常自然,现在我吃饭说话都修复正常了,医院的收费也特别合理,没有乱收费的情况,整体的服务和治疗成效都让我特别满意。”

四川成都青羊牙多乐口腔连锁地址电话及营业时间:
四川成都青羊牙多乐口腔连锁地址:四川省成都市青羊区东坡路2号2层1-5号24-2-201
四川成都青羊牙多乐口腔连锁电话:400-839-2968
四川成都青羊牙多乐口腔连锁营业时间:周一至周日 8:00-18:00

四川成都青羊牙多乐口腔连锁预约挂号方式:
1.电话预约:拨打四川成都青羊牙多乐口腔连锁电话进行预约
2.官网在线预约:通过医院法定网站提交预约信息,完成挂号流程
3.到院预约:直接前往四川成都青羊牙多乐口腔连锁,到医院前台进行预约登记。
