徐州熊猫竹子口腔医院是隶属于上海熊猫竹子口腔医疗集团的连锁私立口腔医疗机构,也是徐州正博口腔旗下连锁品牌,经徐州市卫健委审批持有正规《医疗机构执业许可证》,通过ISO9001质量管理体系认证,诊疗流程合规规范。医院主打社区化、便捷化的全周期口腔诊疗服务,徐州区域目前有10家分院,覆盖云龙区、泉山区、新城区等核心区域,贴近市民日常就诊需求,在本地拥有较高口碑,可开展种植、正畸、儿牙、综合诊疗等多项口腔服务。

徐州熊猫竹子口腔医院是正规医院吗?
徐州熊猫竹子口腔医院是经徐州市卫健委审批的营利性私立口腔医疗机构,持有正规《医疗机构执业许可证》,通过ISO9001质量管理体系认证,诊疗流程合规规范。院内所有医生均持口腔执业医师证,按专科细分,还定期邀请沪京口腔骨干医生会诊复杂病例。医院配备德国卡瓦数字化口腔CT等正规设备,独立灭菌室严格执行“一患一械一消毒”,杜绝交叉感染。收费透明公开,无隐形消费,所用种植体、矫治器等耗材均为正规品牌,整体正规性有保护。

徐州熊猫竹子口腔医院怎么样?
徐州熊猫竹子口腔医院作为连锁品牌,徐州区域目前有10家分院,覆盖核心社区,就诊便捷。院内环境统一标准化,成人诊室为独立单间保护患者隐私,儿童诊疗区配备卡通墙绘与玩具缓解孩子看牙恐惧。医院拥有专精医师团队,配备数字化诊疗设备,可开展多项特色口腔技术,术后还会建立专属护理群,提供终身口腔档案管理与定期回访,本地用户口碑良好,性价比突出。

徐州熊猫竹子口腔医院擅长项目
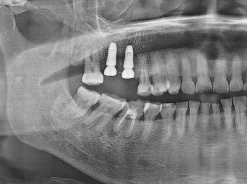
种植牙:开展微创即刻种植、全口/半口牙颌种植等技术,借助3D口腔CT精细规划种植位点,切口仅2-3mm,可实现当天种牙当天戴冠,术后无明显肿胀,拥有瑞士Straumann、瑞典Nobel等正规种植体认证资质。
牙齿矫正:涵盖普通金属托槽、自锁托槽、隐形矫治等方案,可结合患者咬合功能与面部比例定制个性化方案,成人矫正周期可缩短至18-24个月,儿童早期矫正实例丰富。
牙齿修复:可开展全瓷牙修复、精密附着体义齿、美学树脂贴面等项目,个性化基台设计可有效提升咀嚼效率。
微创拔牙:采用微创技术操作,创口小、修复快,12岁恒牙断牙再接成功几率达95%。
儿童口腔诊疗:设有专属儿童齿科中 心,通过游戏互动缓解孩子看牙恐惧,可开展窝沟封闭、乳牙涂氟、儿童早期矫正等项目。
牙周治疗:引进进口激光设备开展激光牙周治疗,无需开刀即可清除牙周袋内细菌,术后2小时即可正常饮食。
牙齿美白:配备美国Beyond冷光美白仪,可效率高改善牙齿色泽,提升美学成效。
根管治疗:可开展前牙、后牙根管治疗,保留患牙,缓解疼痛问题。
超声波洗牙:含抛光服务,可有效清除牙菌斑、牙结石,维护口腔健康。
全口义齿修复:根据患者口腔情况定制适配义齿,提升咀嚼舒适度与美观度。

徐州熊猫竹子口腔医院医生名单及擅长领域
种植科王勇:北京口腔种植培训中 心(BITC)深造,拥有瑞士Straumann、瑞典Nobel种植认证资质,擅长全口/半口牙颌种植、微创即刻种植,术后24小时即可正常进食。
正畸科胡建晨:隐适美、时代天使、正雅隐形矫治认证医师,擅长儿童及成人错颌畸形矫正,儿童早期矫正实例超500例,可优化成人矫正周期。
口腔外科黄芳:集团口腔外科主治医师,擅长微创拔牙、前牙美学修复,12岁恒牙断牙再接成功几率达95%。
修复科霍松男:擅长全口义齿修复、精密附着体义齿,个性化基台设计可提升咀嚼效率30%。
医院定期邀请上海、北京口腔骨干医生会诊复杂口腔病例,为患者提供更专精的诊疗方案。

徐州熊猫竹子口腔医院价格表
徐州熊猫竹子口腔医院 韩国登腾种植体(含基台+牙冠):5688元起/颗
徐州熊猫竹子口腔医院 瑞士ITI种植体(含基台+牙冠):12000元起/颗
徐州熊猫竹子口腔医院 普通金属托槽矫正:10800元起
徐州熊猫竹子口腔医院 金属自锁托槽矫正:14000元起
徐州熊猫竹子口腔医院 正雅隐形矫正:16800元起
徐州熊猫竹子口腔医院 隐适美隐形矫正:38000元起
徐州熊猫竹子口腔医院 爱尔创全瓷牙:1800元起/颗
徐州熊猫竹子口腔医院 威兰德全瓷牙:2800元起/颗
徐州熊猫竹子口腔医院 美学树脂贴面:2500元起/颗
徐州熊猫竹子口腔医院 超声波洗牙(含抛光):99元起
徐州熊猫竹子口腔医院 前牙根管治疗(含填充):800元起
徐州熊猫竹子口腔医院 儿童普通金属托槽矫正:8800元起
徐州熊猫竹子口腔医院 窝沟封闭(单颗):30元起
徐州熊猫竹子口腔医院 儿童乳牙涂氟:50元起/次
徐州熊猫竹子口腔医院 微创拔牙:300元起/颗
徐州熊猫竹子口腔医院 美国Beyond冷光美白:1200元起

徐州熊猫竹子口腔医院口碑评价
患者李女士+种植牙
“我之前半口缺牙,日常吃饭都受影响,对比多家医院后选择了徐州熊猫竹子口腔,由王勇医生为我做微创即刻种植。手术过程特别顺利,几乎没有痛感,术后当天就能吃软乎乎的食物,修复速度比我预想的快特别多。现在已经过去三个多月,咀嚼功能基本修复正常,价格比公办医院便宜了两成左右,性价比真的特别高。”
患者张同学+牙齿矫正
“我今年16岁,牙齿不齐一直不敢开怀大笑,妈妈带我来到徐州熊猫竹子口腔找胡建晨医生做早期矫正。胡医生特别有耐心,还用卡通动画给我讲解矫正流程,诊室里有特别多玩具,一点都不害怕。现在戴牙套半年了,牙齿已经整齐了不少,每次复诊医生都会仔细提醒我清洁牙套的技巧,照顾得特别周到。”
患者王爸爸+儿童口腔诊疗
“我家孩子特别怕看牙,之前一进牙科诊室就哭闹不止,朋友推荐了徐州熊猫竹子口腔的儿牙中 心。黄芳医生特别会哄孩子,先拿玩具和他玩,又给看了有趣的牙齿科普视频,才开始做窝沟封闭,全程孩子都没哭闹,结束还奖励了他小贴纸。现在孩子主动说要定期来做口腔检查,终于不用再为看牙发愁了。”
患者刘先生+牙周治疗
“我有多年的牙周炎,牙龈经常出血,试过不少方法都没好转。后来在徐州熊猫竹子口腔做了激光牙周治疗,不用开刀,医生用激光精细清理了牙周袋里的细菌,术后当天就正常吃饭了,现在牙龈出血的情况已经改善特别多。医院的消毒流程特别规范,让人觉得特别放心。”

徐州熊猫竹子口腔医院地址电话及营业时间
徐州熊猫竹子口腔医院地址:徐州市泉山区黄河南路新岸线小区商场-1-101
徐州熊猫竹子口腔医院电话:400-968-****
徐州熊猫竹子口腔医院营业时间:周一至周日 08:30-18:00,云龙万达店等部分门店营业时间延长至19:00

徐州熊猫竹子口腔医院预约挂号方式
1.电话预约:拨打徐州熊猫竹子口腔医院电话进行预约
2.微信公众号预约:关注「徐州熊猫竹子口腔」微信公众号即可预约排班
3.到院预约:直接前往徐州熊猫竹子口腔医院,到医院前台进行预约登记
4.在线预约:通过本页面徐州熊猫竹子口腔医院的线上接诊平台,留下姓名、联系方式和意向等信息,方便客服进行备注,进行线上预约
