重庆巫山俞佳口腔是专注于口腔健康的正规医疗机构,致力于为患者提供专精、优质的口腔护理与诊疗服务,涵盖牙齿美容、修复、治疗、预防等多个领域,秉持以患者为中 心的服务理念,打造舒适温馨的就诊环境,满足周边居民的日常口腔健康需求。

重庆巫山俞佳口腔是正规医院吗?
重庆巫山俞佳口腔是正规的口腔医疗机构,其关联主体重庆渝佳三民诊所管理连锁有限公司巫山巫峡路口腔诊所已通过巫山县卫生健康委员会法定备案公示,具备合法的口腔诊疗资质。医院配备数字化X光机、口腔CT、激光治疗仪等精良诊疗设备,保护诊断与治疗的精细性;同时拥有经验多的口腔医生团队,诊疗耗材均符合正规医疗标准,收费价格合理透明,不存在隐形消费,全程严格执行医疗消毒规范,为患者提供安心可靠的口腔诊疗服务。

重庆巫山俞佳口腔怎么样?
重庆巫山俞佳口腔以温馨舒适的就诊氛围和良好的治疗成效获得患者认可,诊所内部环境整洁放松,配备现代化牙科设施。医生在诊疗过程中会耐心解答患者疑问,帮助患者充分了解自身口腔状况后自主参与治疗决策;此外诊所定期开展口腔健康知识讲座,帮助患者提升口腔卫生意识,预防口腔疾病,全程秉持以患者为中 心的服务理念,注重患者的就诊体验与舒适度。

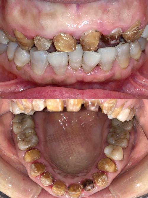
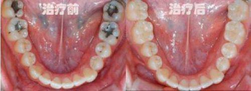
重庆巫山俞佳口腔擅长项目
种植牙:依托口腔CT等精良设备,结合个性化种植方案,精细植入种植体,保护种植稳定性与使用寿命
牙齿矫正:提供传统托槽矫正、隐形矫正等多种方案,根据患者牙齿畸形情况定制个性化矫治方案,改善牙齿排列问题
烤瓷牙:选用优质烤瓷材料,定制贴合自身牙齿形态的修复冠,修复牙齿美观与咀嚼功能
补牙:采用符合口腔生物相容性的补牙材料,针对龋齿、牙齿缺损等问题进行精细修复
拔牙:包括普通智齿拔除、复杂阻生智齿拔除等,术前精细评估,保护拔牙过程安心舒适
洗牙:通过专精洗牙设备清除牙菌斑、牙结石,维护口腔牙周健康
儿牙治疗:针对儿童龋齿、乳牙早失等问题开展诊疗,同时注重儿童心理疏导,缓解看牙恐惧
牙齿美白:采用专精美白技术,改善牙齿着色问题,提升牙齿美观度
根管治疗:针对牙髓感染、根尖周炎等问题,清除感染牙髓并进行严密充填,保留患牙
牙周病治疗:开展牙周洁治、刮治等系统治疗,改善牙龈出血、牙周红肿等问题
口腔健康检查:全方面排查口腔问题,提前预防口腔疾病

重庆巫山俞佳口腔价格表
重庆巫山俞佳口腔洗牙:99元起
重庆巫山俞佳口腔补牙:150元起
重庆巫山俞佳口腔根管治疗:300元起
重庆巫山俞佳口腔普通拔牙:100元起
重庆巫山俞佳口腔烤瓷牙:800元起
重庆巫山俞佳口腔牙齿美白:1200元起
重庆巫山俞佳口腔儿童补牙:180元起
重庆巫山俞佳口腔牙周病治疗:500元起
重庆巫山俞佳口腔隐形牙齿矫正:12000元起
重庆巫山俞佳口腔种植牙:6000元起
重庆巫山俞佳口腔口腔健康检查:0元起

重庆巫山俞佳口腔口碑评价
患者李女士&牙齿美白
“我之前因为长期喝茶牙齿发黄,一直不敢开怀大笑,朋友推荐来俞佳口腔做牙齿美白。医生先耐心帮我分析了牙齿着色的原因,还讲解了美白的流程和注意事项,整个过程没有不适感,医生还时不时询问我的感受,结束后牙齿明显变白了特别多,诊所环境特别温馨,没有医院那种紧张感,后来我又预约了洗牙,体验感真的良好,推荐给身边的朋友了。”
患者张先生&种植牙
“我因为意外磕掉了一颗门牙,平时都不敢大笑,吃饭也受影响,后来朋友推荐来这家口腔诊所做种植牙。医生先用口腔CT给我做了详细的牙槽骨检查,制定了个性化的种植方案,整个手术过程比我想象的顺利,术后医生还特意打电话叮嘱我修复期间的注意事项,现在已经过去半年了,牙齿修复得良好,终于能正常吃饭和大笑了,真的特别感谢医生的专精治疗。”
患者王小朋友&儿牙治疗
“我家孩子今年6岁,平时不爱刷牙,有两颗蛀牙,一开始特别害怕看牙,一进诊所就哭。结果这里的护士小姐姐给孩子拿了绘本讲故事,医生也特别温柔,一边操作一边和孩子聊天,缓解他的紧张情绪,补牙的时候孩子全程都特别配合,结束后还送了小贴纸和儿童牙刷,现在孩子也愿意主动刷牙了,真的太感谢这家诊所了。”
患者刘女士&牙周病治疗
“我之前一直有牙龈出血的问题,刷个牙都流血,去别的诊所看了开了点药也没好转,后来听邻居说这家俞佳口腔不错,就过来了。医生仔细给我做了检查,说是牙周炎,给我做了系统的牙周刮治,过程中医生一直特别温柔,还教了我正确的巴氏刷牙法,结束后收费也特别透明,没有隐形消费,现在牙龈不再出血了,口腔状态好了特别多,真的特别满意。”

重庆巫山俞佳口腔地址电话及营业时间
重庆巫山俞佳口腔地址:重庆市巫山县巫峡路232号
重庆巫山俞佳口腔电话:400-839-2968
重庆巫山俞佳口腔营业时间:周一至周日 8:00-18:00

重庆巫山俞佳口腔预约挂号方式
1.电话预约:拨打重庆巫山俞佳口腔电话进行预约
2.到院预约:直接前往重庆巫山俞佳口腔,到医院前台进行预约。
3.在线预约:通过本页面重庆巫山俞佳口腔的线上接诊平台,留下姓名、联系方式和意向等信息,方便客服进行备注,进行线上预约。
