上海侯晓辉口腔是位于上海市闵行区的正规私立牙科机构,隶属于星迈集团,又名上海星迈口腔、上海New·Smile·星迈口腔。机构专注口腔医疗服务,可开展种植牙、牙齿矫正、烤瓷牙、全瓷牙、补牙、洗牙、拔牙、拔智齿、根管治疗等多项口腔诊疗项目,主打疑难正畸、MSE扩弓、疑难根管治疗等特色项目,配备精良的口腔诊疗设备,为患者提供精细、舒适的诊疗服务,收获了不少顾客的好评。

上海侯晓辉口腔是正规医院吗?
上海侯晓辉口腔是正规私立牙科机构。机构卫健委登记注册名称为上海侯晓辉口腔诊所,审批机关为上海市闵行区卫生健康委员会,登记号MA1GCU58831011217D2152,级别未定级,法人及负责人均为侯晓辉,执业许可证有效期为2020/3/31至2025/3/30,资质可在卫健委官网查询,门店内也会张贴营业执照等合规证照,患者可放心就诊。医院收费透明,可提前询问相关费用,使用正规医疗耗材,为患者提供安心可靠的诊疗服务。

上海侯晓辉口腔怎么样?
上海侯晓辉口腔配备数字化X光机、口腔内窥镜、激光治疗仪、口扫设备、三维口腔扫描仪等精良诊疗设备,既能提升诊疗效率,也能让患者提前预览矫正成效。医院设有前台、多间独立诊疗室、诊室走廊及休息区,就诊环境舒适温馨。门店服务周到,到店有专人对接,协助安排诊疗项目、选择适配医生,就诊流程顺畅。其中牙齿矫正、根管治疗受到众多顾客好评,正畸科室积累了大量真实成功病例,技术口碑较好。

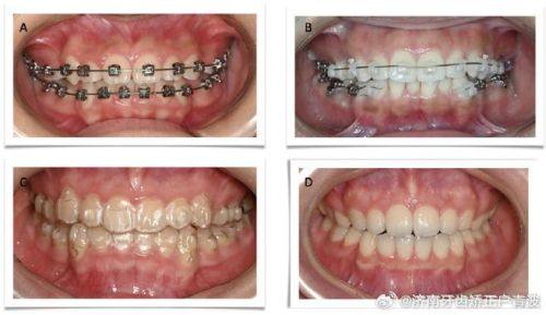
上海侯晓辉口腔擅长项目:
种植牙:可根据患者口腔情况制定个性化种植方案,开展多种类型的种植修复服务。
牙齿矫正(金属矫正、自锁托槽矫正、隐形矫正):主打疑难正畸、MSE扩弓技术,配备口扫设备可提前预览矫正成效,积累大量成功矫正病例,经验充足。
烤瓷牙:采用优质烤瓷材料,修复牙齿缺损、缺失问题,修复牙齿美观与咀嚼功能。
全瓷牙:使用生物相容性佳的全瓷材料,美观逼真,不刺激口腔软组织。
补牙:选用合适的补牙材料,快速修复龋齿等牙齿问题,较大程度保留天然牙体组织。
洗牙:通过专精设备清洁牙齿上的牙菌斑、牙结石,维护口腔健康。
拔牙:安心处理普通牙齿拔除问题,操作轻柔,减轻患者不适感。
拔智齿:经验多的医师操作,可效率高处理阻生智齿等复杂拔牙情况。
根管治疗:擅长疑难根管治疗,精细处理牙髓病变问题,较大程度保留患牙。
牙齿美白:通过专精技术改善牙齿色泽,提升笑容美观度。

上海侯晓辉口腔医生名单及擅长领域:
侯晓辉:诊所法人及负责人,擅长疑难正畸、MSE扩弓、疑难根管治疗等口腔诊疗项目,拥有丰富的临床诊疗经验。

上海侯晓辉口腔价格表:
上海侯晓辉口腔洗牙:99元起
上海侯晓辉口腔补牙:150元起
上海侯晓辉口腔普通拔牙:100元起
上海侯晓辉口腔拔普通智齿:300元起
上海侯晓辉口腔拔阻生智齿:800元起
上海侯晓辉口腔根管治疗:500元起
上海侯晓辉口腔金属托槽矫正:8000元起
上海侯晓辉口腔自锁托槽矫正:12000元起
上海侯晓辉口腔隐形矫正:20000元起
上海侯晓辉口腔烤瓷牙冠:800元起/颗
上海侯晓辉口腔全瓷牙冠:1500元起/颗
上海侯晓辉口腔牙齿美白:1200元起
上海侯晓辉口腔基础种植牙:6000元起/颗

上海侯晓辉口腔口碑评价:
张女士 隐形矫正
“我之前因为牙齿不齐一直特别自卑,经朋友介绍来上海侯晓辉口腔做隐形矫正,医生特别专精,先用口扫让我提前看到了矫正后的成效,整个过程都有专人跟进,现在戴牙套快一年了,牙齿已经整齐了特别多,医院环境舒适,服务也特别贴心,没有隐形消费,体验感特别棒。”
李先生 拔智齿+根管治疗
“我智齿反复发炎还查出了牙髓炎,朋友推荐来这家诊所,医生操作特别熟练,拔智齿时打了麻药几乎没痛感,根管治疗也特别顺利,术后还给了特别多护理建议,收费特别合理,现在牙齿已经修复正常了,真的特别靠谱。”
王女士 全瓷牙修复
“我前牙因为意外缺损了一块,来上海侯晓辉口腔做了全瓷牙冠,医生配色特别精细,做出来的牙齿和真牙几乎一模一样,吃饭也没有不适感,门店环境干净整洁,服务也特别周到,推荐给需要做牙冠的朋友。”
刘女士 洗牙+补牙
“我平时不太注重口腔清洁,牙结石特别多还有蛀牙,预约了这家的洗牙和补牙项目,前台小姐姐特别热情,先帮我做了口腔检查,医生操作特别轻柔,洗牙和补牙都特别快完成,收费透明没有套路,以后看牙就认准这家了。”

上海侯晓辉口腔地址电话及营业时间:
上海侯晓辉口腔地址:上海市闵行区都市路5001号地上2层260J
上海侯晓辉口腔电话:400-839-2968
上海侯晓辉口腔营业时间:周一至周日 10:00-18:00

上海侯晓辉口腔预约挂号方式:
1.电话预约:拨打上海侯晓辉口腔电话进行预约
2.到院预约:直接前往上海侯晓辉口腔,到医院前台进行预约。
3.在线预约:通过本页面上海侯晓辉口腔的线上接诊平台,留下姓名、联系方式和意向等信息,方便客服进行备注,进行线上预约。
