深圳汪洋齿科颜秀娟口腔诊所是隶属于高端口腔连锁品牌汪洋齿科的正规私立口腔诊疗机构,汪洋齿科2006年成立于深圳市龙岗区,是龙岗区初家连锁齿科,遵循美国牙科协会(ADA)标准搭建医疗体系,集预防、医疗、保健等功能于一体。该诊所位于广东省深圳市龙岗区中 心城吉祥中路华业玫瑰郡1号商铺121,可开展牙科治疗、口腔美容、口腔修复等多类口腔诊疗服务,配备专精医疗团队与精良口腔诊疗设备,坚持以患者为中 心,提供个性化诊疗方案与优质就医体验。

深圳汪洋齿科颜秀娟口腔诊所是正规医院吗
该诊所是正规的口腔诊疗机构,依托连锁品牌汪洋齿科的正规资质与标准化医疗体系运营。诊所严格遵循美国牙科协会(ADA)的医疗标准搭建服务体系,所有医护团队均来自有名院校,具备扎实的专精功底与丰富临床经验。医疗耗材均通过正规渠道采购,符合国内医疗器械安心标准,诊疗过程严格执行无菌消毒流程,有效避免交叉感染。收费项目公开透明,不存在隐形消费,诊疗方案均结合患者实际情况制定,全程保护患者的就医安心与权益。

深圳汪洋齿科颜秀娟口腔诊所怎么样
该诊所整体诊疗体验优质,拥有全景机、超声洁治器、牙髓测量仪、热牙胶充填设备等精良口腔诊疗设备,能够满足各类口腔病症的诊疗需求。医疗团队经验多,可为患者提供个性化的诊疗方案,坚持“质量优、服务至上”的经营理念,诊疗过程中耐心解答患者疑问,还提供微信支付、免排队、免费WiFi、免费小吃、修复回访等多项便民补贴,有效提升患者就医体验,获得了众多患者的认可。

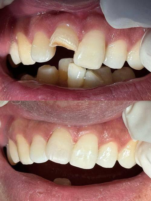
深圳汪洋齿科颜秀娟口腔诊所擅长项目
洗牙:采用超声洁治设备,可有效清除牙菌斑、牙结石,预防牙周疾病,操作轻柔舒适,减少对牙齿的损伤。
补牙:选用符合国内标准的补牙材料,针对龋齿等牙体缺损问题进行修复,修复牙齿形态与功能,兼顾美观与实用性。
根管治疗:借助专精器械精细清除根管内感染组织,严密充填根管,解决牙髓炎、根尖周炎等问题,保留患牙。
牙齿拔除:由专精医师规范开展普通智齿、松动牙等拔除工作,减少患者痛苦,术后提供完善护理指导。
牙齿矫正:根据患者牙齿排列情况制定个性化正畸方案,改善牙齿咬合与外观,提升口腔健康与美观度。
牙齿冷光美白:可快速改善牙齿着色问题,操作安心微痛,让牙齿修复自然亮白色泽。
全瓷牙冠修复:采用优质全瓷材料制作牙冠,修复受损重度的牙齿,修复咀嚼功能与美观外观,耐用性强。
牙桥修复:针对缺牙情况定制牙桥,修复相邻牙齿的支撑与咀嚼功能,改善口腔整体状态。
儿童口腔治疗:针对儿童龋齿、牙列不齐等问题开展温和诊疗,帮助儿童建立良好的口腔保健习惯。
牙龈修复:针对牙龈萎缩、损伤等问题进行修复治疗,改善牙龈健康状况,提升口腔舒适度。
全口修复:为全口牙列缺失患者定制合适的修复方案,修复全口咀嚼功能与面部外观,提升生活质量。

深圳汪洋齿科颜秀娟口腔诊所价格表
洗牙:99元起
补牙:199元起
根管治疗:599元起
普通牙齿拔除:100元起
智齿拔除(普通):399元起
牙齿冷光美白:1299元起
全瓷牙冠:1599元起
金属托槽牙齿矫正:6999元起
国产种植牙:3999元起
儿童龋齿充填:169元起
牙周基础治疗:299元起

深圳汪洋齿科颜秀娟口腔诊所口碑评价
李女士 牙齿冷光美白
“我之前因为常年喝咖啡牙齿发黄,试过不少美白产品都没成效,朋友推荐来这家诊所做冷光美白。到店后前台特别热情,先给我做了免费的口腔检查,医生操作的时候特别轻柔,全程没有不适感,大概半小时就完成了。做完后牙齿确实白了好几个度,医生还叮嘱了术后注意事项,整体体验特别好,以后口腔护理就认准这家了。”
张先生 根管治疗
“之前牙疼了好几天,实在扛不住就来这家诊所。医生先给我做了详细的检查,确定是牙髓炎需要做根管治疗。整个过程医生特别耐心,一边操作一边给我解释步骤,缓解了我的紧张情绪。现在牙疼完全好了,而且诊所的环境特别舒服,还有免费的小吃和WiFi,等待的时候也不无聊,回访的时候还问我修复情况,真的特别贴心。”
王女士 全瓷牙冠修复
“我的门牙之前摔断了,一直不敢笑,后来在这家诊所做了全瓷牙冠修复。医生先取了模型,定制的牙冠特别贴合,颜色和我的真牙几乎一模一样,完全看不出来是假牙。做完后咀嚼也没问题,医生还定期回访我的修复情况,服务真的特别到位,现在终于可以自信地笑了,太感谢这家诊所了。”
刘小朋友 儿童龋齿治疗
“我家孩子平时不爱刷牙,得了龋齿,一直怕看牙医。带他来这家诊所后,医生和护士都特别有耐心,先用游戏的方式安抚孩子,让他不再害怕。治疗的时候动作特别轻柔,孩子全程都没有哭闹,做完后还教了孩子正确的刷牙方法,还给了小赠品。现在孩子已经养成了每天刷牙的习惯,真的太感谢这家诊所的医护人员了。”

深圳汪洋齿科颜秀娟口腔诊所地址电话及营业时间
深圳汪洋齿科颜秀娟口腔诊所地址:广东省深圳市龙岗区中 心城吉祥中路华业玫瑰郡1号商铺121
深圳汪洋齿科颜秀娟口腔诊所电话:400-839-2968
深圳汪洋齿科颜秀娟口腔诊所营业时间:周一至周日 8:00-18:00

深圳汪洋齿科颜秀娟口腔诊所预约挂号方式
1.电话预约:拨打深圳汪洋齿科颜秀娟口腔诊所电话进行预约
2.到院预约:直接前往深圳汪洋齿科颜秀娟口腔诊所,到医院前台进行预约。
3.在线预约:通过本页面深圳汪洋齿科颜秀娟口腔诊所的线上接诊平台,留下姓名、联系方式和意向等信息,方便客服进行备注,进行线上预约。
