松鼠口腔医院是国内连锁吗?没错,它是连锁机构,技术靠谱服务好值得信赖。在当今社会,口腔健康越来越受到人们的重视,选择一家正规、专精且服务优质的口腔医院至关重要。松鼠口腔医院作为国内连锁口腔医疗机构,凭借其多方面的优势,成为了众多患者的优选。

松鼠口腔医院是国内正规连锁机构
松鼠口腔自2016年成立以来,已在国内十余个城市建立分院,形成了覆盖中山、佛山、江门、广州、重庆、珠海、昆明、济南、东营、南京等城市的服务网络。它是国内较早布局连锁的口腔机构之一,目前在多地设立分院,每家分院均具备独立医疗资质,可通过卫健委官网查询备案信息。所有门店均持有《医疗机构执业许可证》,医生团队持证上岗,部分医生拥有博士、硕士学历及海外进修背景。其连锁模式通过标准化管理确保各分院服务质量统一,并实现医疗资源与技术共享,为患者提供有效便捷的诊疗支持。

松鼠口腔医院的连锁优势显著
从技术标准来看,松鼠口腔各门店技术标准统一,有成熟的诊疗流程,从初诊检查到治疗完成都有规范步骤。医生定期跨店交流学习,共享诊疗经验,无论在哪家门店看牙,都能享受到一致的可靠服务。连锁模式还带来资源优势,能及时引进较高技术和设备,确保各门店技术水平同步提升,患者不用奔波就能体验新口腔诊疗。在设备方面,松鼠口腔医院设备齐全且较高,有口腔CT机,能清晰看到牙齿和骨头的细节,为种牙和矫正提供更准一些数据;智能化种植导板设备,让种植体植入角度更更准一些,减少创伤;隐形矫正扫描仪,当场就能生成矫正模拟结果,直观易懂。还有专门的消毒设备,采用全程无菌操作,器械一人一用一消毒,从源头降低感染风险,让患者看牙更安心。
松鼠口腔医院的特色项目突出
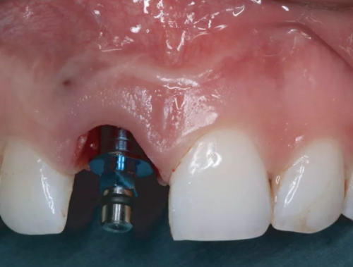
种牙是松鼠口腔的核心特色项目。种牙医生经验充足,术前会做齐全口腔检查,根据骨量和牙位设计方案。采用小创口种植技术,切口小,出血少,术后改善快。对于骨量不足的患者,会采用植骨辅助技术,让种植体更稳固。种植体选择多样,有不同品牌和型号,医生会按患者需求和预算推荐,确保种植结果和使用寿命,不少患者种牙后咀嚼功能改善非常好。例如,采用数字化种植技术,术前通过3D扫描定制方案,提升种植精度与舒适度;开展即刻种植、穿翼板种植等复杂术式,缩短治疗周期。其种植牙覆盖单颗、半口/全口缺牙修复,尤其擅长复杂病例(如骨量不足、即刻负重)。
牙齿矫正也是松鼠口腔的优势项目。矫正医生擅长多种矫正方式,有传统托槽、半隐形和隐形矫正可供选择。会根据牙齿拥挤程度、咬合情况设计个性化方案,重视牙齿排列和脸型协调。隐形矫正采用轻薄牙套,佩戴舒适,不影响日常生活。矫正过程中定期调整力度,确保牙齿移动平稳,避免不适感。医生会用模型演示矫正过程,让患者清楚每个阶段的变化,矫正结果自然美观。

松鼠口腔医院的收费合理透明
松鼠口腔坚持价格透明化,官网与门店均公示详细价目表,避免隐形消费。以下是部分项目的价格参考:
| 项目 | 价格 |
|---|---|
| 种植牙(韩国奥齿泰) | 3880元起/颗 |
| 种植牙(美国皓圣) | 8800元起/颗 |
| 种植牙(瑞士ITI) | 10880元起/颗 |
| 牙齿矫正(金属自锁托槽) | 7999元起 |
| 牙齿矫正(时代天使隐形矫正) | 19800、22000、28000元起 |
| 镶牙(生物合金烤瓷牙) | 970元起 |
| 拔牙(成人松动牙) | 69.89元起 |
| 补牙(美国3M250树脂) | 141元起 |
注:价格仅供参考,具体以到院医生面诊后的治疗方案为准。而且医院还经常有优惠活动,针对学生、老人有折扣,种牙和矫正有套餐可选,性价比高,让普通家庭也能轻松负担看牙费用。

松鼠口腔医院服务贴心,值得信赖
从进门开始就有贴心服务,前台引导登记,护士耐心解答疑问。候诊区有舒适座椅、饮用水和杂志,等待不枯燥。儿童看牙有专门的卡通诊室,医生会用玩具引导孩子配合,减少看牙恐惧。治疗过程中医生会及时询问感受,调整操作节奏。术后会详细告知护理方法,还会打电话回访改善情况,有问题随时解答,像朋友一样贴心。综合多地患者反馈,松鼠口腔的口碑良好,特别多患者评价这里“医生可靠,服务贴心”“种牙后吃饭香了”“矫正后牙齿齐了,笑起来更自信了”。不少人是朋友推荐来的,看牙后又推荐给身边人,靠口碑积累了不少回头客。
总之,松鼠口腔医院是国内连锁机构,技术靠谱、服务好且收费合理透明,值得大家信赖。如果您有口腔问题,不妨选择松鼠口腔医院,让您的口腔健康得到专精的呵护。
